Tropical Diseases/Chapter 29
CHAPTER XXIX
DYSENTERY
Definition.— A term applied to several specifically distinct diseases of which the principal pathological feature is inflammation of the mucous membrane of the colon, and of which the leading symptoms are pain in the abdomen, tenesmus, and the passage of frequent small stools containing slime, or slime arid blood.
Geographical distribution.— From time to time forms of dysentery have extended as epidemics of great severity over vast tracts of country. These great epidemics, or, rather, such of them as have been recorded, have been confined principally to temperate latitudes. There can be little doubt that similar visitations have occurred and do occur in tropical countries. At the present day dysenteric disease of local origin is rare in Britain. Small circumscribed epidemics break out occasionally among the general population, and in certain public institutions, particularly lunatic asylums, endemic dysentery is common; but, in comparison to what was the case in pre-sanitary days, and with what obtains in tropical countries at present, our indigenous dysentery is altogether insignificant. The same remark applies to the continent of Europe. But when, in Europe or elsewhere, war breaks out, or when there is wide-spread scarcity of food, dysentery is almost sure to appear. In most places in the tropics dysentery of one form or another is always to be found; in some places and seasons more than in others. On the whole, it may be advanced that wherever the general hygienic conditions are bad, wherever the soil is much fouled by excreta, and especially where the water supply is polluted, wherever many people are crowded together in one building or camp, where the food is coarse, monotonous, or unsound, there, especially in tropical and sub-tropical climates, dysentery is or becomes endemic, and may become epidemic.
Amongst tropical diseases the group of morbid conditions included under the general term " dysentery " ranks in importance next to malaria. Unfortunately, our knowledge is not in proportion to the importance of the subject. Until recent years the word " dysentery " was supposed to indicate a single well-defined disease; writers described its etiology, symptoms, pathology, morbid anatomy, and treatment with precision. Lately we have begun to get beyond this stage of confident ignorance. We may know something about the symptoms and morbid anatomy of dysenteric disease, and we are beginning to get some insight into the germ causes of the leading types, but we are obliged to confess that even in these respects our knowledge is not even approximately complete. Anything approaching a scientific description of dysentery is as yet impossible. I am obliged, therefore, in describing the clinical features of dysentery to adopt an arbitrary and unscientific classification; and to deal with effects before discussing possible causes, symptoms before etiology.
Symptoms.— In ordinary cases the leading symptoms of dysentery are those of inflammation of the great intestine namely, griping, tenesmus, and the passage of frequent, loose, scanty, muco-sanguineous stools. The illness commences in various ways insidiously or suddenly; with high fever, with moderate fever, or without any material rise of temperature. Or the symptoms of colitis may be grafted on to some general affection, such as scurvy or malaria, or on to some chronic disease of the alimentary canal, such as sprue. They may assume acute characters; or from the outset the symptoms may be subdued and of little urgency. As a rule, the symptoms are proportioned to the extent of the disease, but they are not necessarily so. In certain cases they may be extremely urgent and in apparent disproportion to the area of bowel affected; or they may be, in comparison to the extent and the degree of the anatomical lesion, disproportionately trifling; or they may be altogether absent, even when the colon is extensively diseased. There is, therefore, endless variety in their character, urgency, and significance. As a general rule, the nearer to the rectum the lesions, the more urgent the tenesmus; the nearer to the cæcum, the more urgent the griping. These two symptoms, together with the presence of points of localized tenderness, form, in many cases, a fair guide to the location and extent of the lesions.
Clinically, the dysenteries are conveniently arranged according to what may be presumed to be the gross characters of the attendant intestinal lesion.
Catarrhal dysentery.— A common history to receive is that for some days the patient had suffered from what was supposed to be an attack of diarrhœa. The stools, at first copious, bilious, and watery— perhaps to the number of four or five in the twenty-four hours— had latterly, and by degrees, become less copious and more frequent, less fæculent and more mucoid, their passage being attended by a certain and increasing amount of straining and griping. On looking at what was passed, the patient had discovered that now there was very little in the pot except mucus tinged, or streaked, or dotted with blood; a tablespoonful, or thereabouts, being passed at a time. By degrees the dysenteric element entirely supplanted the diarrhœa; so that when seen by the physician the desire to go to stool had become almost incessant, the effort to pass something being accompanied by perhaps agonizing griping and tenesmus. The patient has hardly left the stool before he has a call to return to it, and he may be groaning and sweating with pain and effort. The suffering is sometimes very great; nevertheless, with all this suffering there is often very little fever, the thermometer showing a rise of only one or two degrees.
In another type of case the incidence of the dysenteric condition is much more abrupt. Within a few hours of its commencement the disease may be in full swing. The stools, at first fæculent, soon come to consist of little save a yellowish, greenish, or dirtybrown mucus blood-tinged or streaked and dotted with little hæmorrhages. Very soon the desire to stool becomes increased, the griping and tenesmus being accompanied, perhaps, with most distressing dysuria. The patient is glued, as it were, to the commode. Fever, which at the outset may have been smart and preceded by rigor, subsides, so that when the patient is seen it may be absent or inconsiderable. The tongue soon becomes white or yellow-coated; there may be thirst also; very generally anorexia is complete.
In either case, after perhaps four, five, or six days, the urgency of the symptoms may gradually diminish and the acute stage taper off into a subacute or chronic condition; or it may terminate more quickly in perfect recovery.
Ulcer ative dysentery.— Should, on the contrary, the disease advance, the urgency of the symptoms shows hardly any abatement; the stools become very offensive, and now contain, besides blood, large or small shreddy, ash-coloured, stinking sloughs. This may go on, better or worse, for days or weeks. Recovery from this condition is, necessarily, a slow process, seeing, as the presence of sloughs in the stools indicates, that there is deep ulceration which must take some time to cicatrize. Such a condition tends to drift into that most dangerous and most distressing complaint, chronic dysentery, relapsing and improving during many months or even years, and causing, if severe and prolonged, great wasting, pain, and misery.
Fulminating dysentery.— The attack generally begins suddenly, often in the middle of the night, with chills or smart rigor, vomiting, headache, and a rapid rise in temperature to 102 or even 104 F. Co-incidently with the rigor, or very soon afterwards, but occasionally not for a day or two, purging begins, the stools quickly assuming dysenteric characters. In from two or three days to a week or thereabouts, fever persisting to the end, or collapse setting in with a sub-normal temperature, the patient dies. So virulent is the blood-poisoning in some instances that death may take place before dysenteric stools are emitted, and it is only the presence of an epidemic of dysentery at the time, or the post-mortem revelations, that make diagnosis possible. The mortality in such cases is very high. Occasionally the acute phase subsides, the patient slowly recovering after passing through the ulcerative phase of the disease.
Relapsing dysentery.— In a proportion of dysenteries, although the activity of the initial attack may subside somewhat, symptoms do not completely disappear. The stools may recover their fæculent character and even show some formation, but they continue to be passed too frequently, are often preceded by griping, and contain a variable amount of slime and muco-pus, with or without blood. Without obvious cause, or as a sequel of some dietetic or other indiscretion, these dysenteric signs become aggravated, and there is once more a recurrence of active symptoms. Spontaneously, or through treatment, matters quiet down again, presently, however, to be followed by another relapse; and so on, until after weeks or months of suffering the patient dies of exhaustion or slowly recovers. This is the type of dysentery, as will be explained presently, that is generally associated with, and in all probability is caused by, a specific amœba— Amœba histolytica— and is designated "amœbic dysentery."
Recurring dysentery.— The patient has an attack of dysentery from which recovery appears to be complete. Months, or even years subsequently, without recognizable fresh exposure to infection, and during prolonged residence perhaps in a non-endemic district or country, the disease recurs, to subside and recur at intervals for several years. I have several times seen such cases. They can only be explained by assuming a remarkable capacity for prolonged latency on the part of the special dysenteric germ concerned, generally the amœba.
Chronic dysentery.— In a large proportion of cases of acute dysentery the bowel does not become absolutely healthy for a considerable time after abatement of the more urgent symptoms. On the slightest dietetic imprudence, after chill or fatigue, or even slight indulgence in alcohol, the old symptoms reappear. In such cases sudden attacks of diarrhœa are common. Some patients for months, or even years, never pass a perfectly healthy stool, the unformed motion always containing slime or mucopus, and at times blood. Often there is a tendency to scybalous stools, or to constipation alternating with diarrhœa. If such symptoms are at all severe, or persist for a long time, the digestion may deteriorate and the patient become thin and cachectic, his complaint assuming many of the characters of sprue. On the other hand, general nutrition may not suffer, although the patient may continue for years to pass two or three unhealthy stools daily. In mildness and severity the more chronic types of dysentery are as manifold and varied as are the earlier and more acute phases of the disease. They, too, are usually of amœbic nature.
Anomalous types of dysentery have been described from time to time. Thus in a special report on an outbreak among Polynesian immigrants to Fiji which occurred on board ship in 1890, Daniels describes a disease of high fatality (15 deaths in 31 cases), manifestly infectious, running a rapid course— death taking place in from two to ten days. In 6 cases there was extensive superficial ulceration of the mouth, and in 2 cases diphtheritic inflammation of the prepuce. Post-mortem examinations were made in four cases. In all, the whole of the colon and at least half of the small intestine were found acutely inflamed, superficially ulcerated, or covered with a firm, dry, green or grey layer adherent to or continuous with the subjacent intestinal wall. In a special report (1898), Dr. Corney, of Fiji, remarks that at least six similar epidemics had occurred in Melanesian immigrant vessels in twelve years. The high degree of infectiveness, the diphtheritic lesions in intestine and prepuce, and the great mortality clearly indicate a special form of enterocolitis, due probably, according to later researches, to a very virulent form of dysentery bacillus. Such cases do not occur under the better hygienic conditions obtaining in the Melanesian immigrant vessels at the present day.
Gangrenous dysentery.— What is known as gangrenous dysentery is, symptomatically, merely an aggravated form of acute ulcerative dysentery, or a sequel of the fulminating type. Instead of being inucoid, the stools come to consist of a sort of thin, dirty fluid, like the washings of flesh. On standing they deposit a grumous, coffee-grounds-looking material, and they stink abominably. Now and again sloughs of every shape, size, and colour, from ashgrey to black, are expelled. Sometimes tube-like pieces, evidently rings of mucous membrane which have been cast off en masse, are discharged. In such cases the patient rapidly passes into a state of collapse. He sweats profusely; the features, the extremities, and even the whole body, are cold and pinched as in the algide stage of cholera; he may vomit from time to time, and the belly may become distressingly tympanitic. In this condition there is usually a persistent and worrying hiccough. Low muttering delirium sets in; the pulse becomes small and running, and the patient rapidly sinks. Recovery is extremely improbable. Nevertheless, such cases have recovered, and must not necessarily be despaired of.
Hœmorrhage.— Whenever in dysentery sloughs separate, smart hæmorrhage is always possible. Sudden collapse may occur from this cause, even in otherwise mild cases. As in typhoid, the occurrence of hæmorrhage is more or less of the nature of an accident, depending, as it does, on the position of the sloughing sore in relation to an artery; of course, the more extensive and the deepeV the sloughing, the greater the liability to hæmorrhage.
Perforation.— Another grave, though fortunately rare, accident in the course of dysentery is the occurrence of perforation. Should this unhappily take place, and if the patient survive the shock of an extensive extravasation into the peritoneal cavity, symptoms of peritonitis will supervene and rapidly prove fatal. Intussusception.— Intussusception is also an occasional occurrence, especially in children. It is not always readily recognized. A sudden increase of pain, increased straining, entire absence of fæcal matter from the stools, vomiting, and perhaps the presence of a tumour in the rectum, might lead one to suspect and examine for this accident.
Tenderness; thickening.— The abdomen is tender in most cases of acute dysentery. If the disease be of some standing a certain amount of thickening may be felt along the track of the colon, particularly over the sigmoid flexure.
Appendicitis.— Symptoms suggesting inflammation of the appendix due to ulceration of that organ are often met with in amoebic dysentery, and probably account in part for the number of appendicectomies performed in tropical countries.
Hepatitis.— In acute cases the liver is usually distinctly enlarged, and may be tender. It sometimes happens that attacks of hepatitis seem to alternate with attacks of dysentery; or, rather, that hepatitis increasing, dysenteric symptoms decrease, and vice versa. These are always very anxious cases, and too often eventuate, unless energetically and properly treated, in the formation of an abscess or multiple abscesses in the liver; in the latter event they almost necessarily prove fatal.
Sequelœ.— Apart from chronic intestinal troubles, dysentery may be followed, as is the case in so many other infections, by peripheral neuritis. A condition resembling gonorrhœal rheumatism has frequently been noted as a sequel, and several epidemics have been recorded in which a large proportion of the cases became affected in this way. Conjunctivitis and iritis have also been noted as occasional sequelæ. Abscess of the liver is the most important of the sequelæ of dysentery; it will be treated of separately, and need not be further alluded to here.
Mortality.— Although every now and again cases are met with which prove directly fatal, from an overwhelming initial dose of virus, or from the shock of an extensive and intense lesion, or from rapid exhaustion from hæmorrhage, or from perforation; and though some epidemics exhibit a malignancy which, fortunately, is not very common, the direct and immediate mortality from this disease is, under modern methods of treatment, not very high. In India, the case -mortality in dysentery among Europeans ranges from 3 to 22 per cent.; among natives, about 37 per cent. In Egypt, Griesinger stated it as 36 to 40 per cent. In Japan, Scheube places it at 7 per cent. These figures are of little value, as so much depends on the place and the type of the epidemic, and the range of cases covered by the statistics. There was a time when, under a spoliative treatment by bleeding and calomel, dysentery proved a very fatal disease indeed. Even now, in the presence of scorbutus, famine, the stress of war, and similar conditions, whenever dysentery becomes epidemic in a community it is apt to claim a large number of victims.
Sequelœ more dangerous than the disease.— As a rule, under modern treatment, it is the sequelæ of the disease that we have to fear rather than the disease itself. The chronic ulceration, the scarring, thickening, and contractions of the gut are irremediable conditions which too often, after months or years of suffering, lead to intestinal obstruction or, very frequently, to atrophy of the glandular and absorbent system of the entire alimentary tract, general wasting, and fatal asthenia. Such patients hardly ever pass a healthy motion; they are troubled with chronic indigestion; at times they pass their food unaltered; they have recurring attacks of diarrhœa; they are flatulent; their tongues are red, often ulcerated and tender; they develop the condition known as "sprue," and sooner or later almost invariably succumb.
Morbid anatomy. Catarrhal dysentery.— In those cases that subside in a few days, whether spontaneously or in consequence of treatment, it is reasonable to suppose that the pathological condition consists only, or mainly, in congestion or in catarrhal inflammation; that here and there, or throughout its extent, the mucosa and perhaps submucosa of the colon are slightly swollen and congested; and that the surface of the former is softened, perhaps eroded, arid covered with a blood-streaked glairy mucus of the same character as that which appears in the stools.
Ulcerative and gangrenous dysentery.— Cases of catarrhal dysentery rarely die; the exact conditions of the mucous membrane, therefore, in these cases can only be conjectured. It is otherwise in the severer forms of the disease. When such cases come to the post-mortem table the mucous membrane of the large intestine and, very frequently, a foot or two of the lower end of the ileum are found to be thickened, congested, inflamed, speckled perhaps with ecchymoses, œdematous, and more or less riddled with ulcers or patches of gangrene of various sizes, shapes, and depths. As a rule, the brunt of the disease falls on the sigmoid flexure and descending colon; not infrequently, the lesions are equally if not more advanced in the cæcum and ascending colon, and may involve a foot or two of the lower end of the ileum. On the whole, the transverse colon, though often seriously implicated, is so to a less extent than one or other of the parts mentioned, or than the hepatic and splenic flexures.
The dysenteric ulcer varies in size from a punched-out-looking sore the size of a pea, or even less, to a patch several inches in diameter. As a rule, in the earlier days of the acute stage the ulcers tend to follow the folds of the mucous membrane, the free borders of which are the parts most liable to implication. The edges of the sores are ragged and undermined, the floor is sloughy and grey. There may be considerable thickening of the edges and base of the ulcer, and there may be peritoneal adhesions. The appearance of the ulcer may suggest that it extends by a process of burrowing in the submucosa, the superjacent membrane sloughing or disintegrating in consequence of the destruction of its subjacent nutrient vessels. This burrowing may extend for a considerable distance beyond the apparent margin of ulceration; so much so that long, suppurating, fistulous tunnels may connect one ulcer with another. In this way large patches of mucous membrane come to be undermined, and subsequently to slough away. Sores so formed are necessarily ragged and irregular in outline, and may even surround pieces of comparatively healthy mucous membrane. The floor of the active dysenteric ulcer may be, and generally is, formed of a sloughy material lying on the muscular coat; but the sore may penetrate deeper than this, and include the muscular coat itself, and even the serous membrane. The largest ulcers are generally found in the sigmoid flexure and descending colon; they are also frequently, though more rarely, found in the cæcum, the magnitude of the lesions diminishing as we trace the bowel upwards or downwards, as the case may be.
Along with the ulceration there is intense congestion of the non-ulcerated parts of the mucous membrane. In places there may be œdema of the submucosa; there may be small abscesses which elevate the mucous membrane; and there may also be distension of the solitary follicles by a mucoid or purulent material. In some instances a large portion of the mucous membrane may be seen to have died en masse and become gangrenous. In such, extensive sloughs may be thrown off as a sort of tube, apt to be mistaken during the lifetime of the patient for a diphtheritic cast of the bowel.
Fulminating dysentery.— Strong and Musgrave thus describe the lesions in this type of dysentery as it occurs in the Philippine Islands:— "In the most acute cases (death after three or four days' illness) the mucous membrane of the large intestine presents in general a reddened, swollen, puffy appearance. There is a superficial necrotic mucous layer which generally extends over the mucosa throughout the large bowel, and sometimes for a distance of 10 or 12 cm. into the ileum. This necrotic layer consists of mucus, red blood-corpuscles, leucocytes, epithelial cells, with many large swollen granular cells, and bacteria ; no amoebae are found. If one brushes the mucous layer lightly aside with the finger the bright- red injected appearance of the intestinal wall becomes more plainly visible. Dotted here and there throughout are small, diffuse, brightred hæmorrhages with irregular margins, measuring from 2 to 4 mm. in diameter, or even more. The solitary follicles are generally swollen and raised, and of a bright-red colour. Here and there, scattered among them, bright-red, sharply circumscribed, small purpuric spots may appear. Occasionally the background of the intestine may be described as though covered with a bright-red eruption, but with darker-red hæmorrhagic points scattered over this background. In the acute cases no definite ulceration takes place, but only a superficial coagulation necrosis of the mucosa." The lower end of the ileum may be similarly affected. Mott's description of the lesions in the fulminating form of asylum dysentery, as it occurs in England, agrees practically with the foregoing. He adds: "Acute fatal cases of a little longer duration show the same swelling, but now frequently the mucous lining, although swollen, presents a pale-grey or dirty whitish-grey appearance; the surface is sometimes finely or coarsely granular. This is owing to stasis in the vessels of the submucosa and necrosis of the epithelium, and the formation of a, false membrane, consisting for the most part of leucocytes and disintegrating epithelial cells."
The primary lesion.— Such, briefly, are descriptions of the principal lesions found in the acute stage of fatal dysenteries. There is general agreement among pathologists about these; but there is very great discrepancy of opinion as to the exact nature of the primary and essential lesions. Some maintain that the starting-point of the disease is in the solitary follicles, which, becoming distended by a specific exudation, afterwards slough, and form the starting-point for a spreading ulcer. Other pathologists regard the primary lesion as being altogether independent of the glandular structures of the mucous membrane. They hold that, in consequence of the irritation produced by the specific cause of dysentery, an exudation is thrown out on to and into the mucous membrane itself: a slough is formed of this, the implicated piece of tissue being subsequently got rid of, very much in the same way as the slough forming the core of an ordinary boil. Another primary lesion described is the small abscess alluded to as elevating the mucous membrane and projecting into the lumen of the gut. These minute, pimple-like abscesses consist of a collection of gummy pus. After a time a tiny opening forms at the apex of the little swellings, through which the contents may be expressed: it is this opening which, it is alleged, forms, on enlarging, the specific ulcer of dysentery.
Assuming that there are several specific causes for dysentery, it is to be expected that the corresponding primary lesions should differ; that whilst one causes a suppurating or a gangrenous lesion, another may produce a croupous or a diphtheritic; that whilst one species of dysenteric germ attacks the mucosa, another species may select the submucosa; one may attack the glandular structures, another the connective tissue, another the epithelial layer. Whatever the primary lesion may be, eventually the weakened tissues are attacked by the ordinary bacteria of suppuration; so that finally, if the cases survive long enough, they all present a certain uniformity as regards the ultimate ulceration, thickenings, and other inflammatory lesions disclosed post mortem.
Healing process.— The dysenteric ulcer heals partly by contraction, partly by the formation of a very thin scar tissue scar tissue which, besides contracting, is apt to become pigmented. Lost glandular structures are never reproduced. Owing to the constant peristaltic movement of the gut, and the passage of fæces over the face of the healing ulcer, cicatrization, as might be supposed, is a slow process, and one prone to interruption by recurring attacks of inflammation of a more or less specific nature.
Lesions in chronic dysentery.— In chronic dysentery the ulcers are usually smaller and less numerous than in the acute disease. They are also less ragged in outline, tending to become circular in shape and to acquire thickened rather than undermined edges. Cicatricial bands and contractions may narrow the lumen of the gut, the functions of which are still further hampered by thickenings, or by adhesions which unite and bind it to neighbouring organs. Dilatation above the seat of cicatricial stricture is liable to ensue. In chronic dysentery large patches of the bowel, and even the ulcers themselves, may be pale and anæmic, whilst at the same time other patches of the gut are congested. Some parts may be thickened and contracted; others, again, may be thinned and dilated, the glandular structures being atrophied. Lesions of the appendix are often found in amœbic dysentery. Symptoms of appendicitis occurring in countries where appendicitis and consequently appendicectomy are common should incite the tropical practitioner to examine the stools for amœbæ and to apply the appropriate treatment.
Polypoid growth.— Some time ago I attended a case of chronic relapsing dysentery in which the mucous membrane, at all events of the rectum and descending colon, was covered with enormous numbers of polypoid growths of considerable magnitude, some of them at their free ends being as large as the tip of the little finger. The growths had pedicles 1-2 in. in length. During life these polypoid bodies appeared in the stools, often in great number, looking like so many mucilaginous seeds. Similar cases are occasionally met with.
Liver; mesenteric glands.— In by far the majority of cases of acute dysentery the liver is hyperæmic and swollen. In about one-fifth of the cases of Indian dysentery which come to the post-mortem table the liver is the seat of single or multiple abscesses. In chronic dysentery this organ may be atrophied; very generally it is the subject of fatty degeneration.
In acute cases the mesenteric glands are enlarged, soft and congested, or even hæmorrhagic; in chronic cases they are enlarged, hard, and pale. None of the other viscera is characteristically affected. Abscess is sometimes discovered about the rectum. If perforation has occurred, there may be signs of commencing peritonitis.
Etiology.— From a study of the natural history of the various types of the disease we are forced to the conclusion that at least three factors are concerned in the production of the clinical condition called dysentery, namely, (1) influences that weaken the natural resistance of the bowels, such as the depressing or congesting effects of chill, bad food, purgatives, intemperance, intestinal nematodes and trematodes. These prepare the ground for the action of (2) specific germs which have their action supplemented subsequently by (3) the ordinary bacteria of suppuration and ulceration. It must be with the mucous membrane of the bowels in these respects as it is with the skin of the surface of the body. For example, a traumatic erythema leads to a specific eczema which, in turn, may end in an ulcer. So with the bowel: a debauch, a chill, or bad food may lead to an intestinal catarrh. A specific germ, which in healthy conditions would not have proved pathogenic, coming on the scene produces a lesion of the mucosa, in which the ubiquitous pus germs find their opportunity.
Three types of dysentery, correlated to three different kinds of parasites, are now fairly well made out. These are not mutually exclusive; one type may be superposed on and complicate another. That there are other dysenteries, similarly correlated to parasites as yet unrecognized, is not to be doubted. The principal recognized types and their respective parasites are as follows:
1. BACTERIAL— Bacillary dysentery:
- Bacillus dysenteriœ, (Shiga and Flexner).
- Bacillus pyocyaneus.
2. PROTOZOAL —
- Amœbic dysentery:
- Entamœba histolytica (tetragena).
- Balantidium dysentery:
- Balantidium coli.
- Kala-azar dysentery:
- Leishman- Donovan body.
- Malarial dysentery:
- Malaria parasites.
3. VERMINOUS—
- Schistosomum japonicum.
- Schistosomum hœmatobium.
- Schistosomum mansoni.
- Œsophagostomum apiostomum. In this place I shall discuss briefly (1) bacillary dysentery; (2) amœbic dysentery; (3) balantidium dysentery. Reference to the other forms will be found under their respective parasites.
BACILLARY OR EPIDEMIC DYSENTERY
The characteristics of this type of dysentery, at all events of that type of bacillary dysentery which has received of late so much attention, are acuteness of onset, often a well-marked initial fever, little tendency to relapse after the initial attack, the presence of Bacillus dysenteriœ in the stools, an initial diphtheroid necrosis of the mucosa of the large intestine, non-liability to abscess of the liver, occurrence in epidemic form and in all latitudes, and in the lunatic asylums of this and other countries.
Celli and Fiocca believed that dysentery is caused by Bacterium coli commune, which, they asserted, is always present in the stools in this disease. Generally non-pathogenic, this bacterium, they stated, acquires in certain circumstances virulent properties. They said that in the bowel it is often associated with a bacillus like that of typhoid, as well as with streptococci; and they asserted that introduced by the mouth, or injected by the rectum, any or all of these, particularly when in combination and in certain not understood circumstances, either singly or in combination, excite dysentery. They supposed that what they call Bacterium coli dysenteriœ is but a variety of Bacterium coli commune, a variety brought about in some way by the presence of the other bacteria mentioned; that in consequence of the presence of these other bacteria Bacterium coli commune acquires the power of secreting a specific toxin, which power it retains on being transferred from one human being to another. The toxin can be precipitated by alcohol from cultures, and has the property of giving rise to dysentery when ad ministered by the mouth, the anus, or hypodermically.
Shiga was the first to call marked attention to what is now known as Bacillus dysenteriœ, which Celli regards as identical with the organism just alluded to. Flexner, Strong, Musgrave and others regard it as the cause of what they termed epidemic dysentery, in contradistinction to sporadic or endemic dysentery, which they regard as belonging to the pathogenic sphere of the pathogenic amœba. It is a rod-shaped bacillus with rounded ends, varying in size somewhat according to the culture medium, from 1 to 3 μ. in length by 0.4 to 0.5 μ in breadth. It closely resembles in its properties Bacillus typhosus, but differs in being non-motile and exhibiting active Brownian movement, and in the circumstance that some types of B. dysenteriœ display a more uniform generation of indol than does B. typhosus. After a brief preliminary acid production in milk, it gives rise to a gradually increasing alkalinization; it does not agglutinate in serum from typhoid cases, but reacts in serum from dysenteric cases to which B.typhosus does not respond (Flexner). Opinions differed at first as to the presence of flagella; it is now generally conceded that they are absent. It occurs in greatest abundance in dysenteric lesions and especially in the solitary lymphatic follicles of the large intestine, and in the mucus in the stools during the most acute stage of " epidemic " dysentery. It is pathogenic to many animals, but it does not produce in them, or only exceptionally, dysenteric lesions, although the toxins of the bacillus, pounded and killed cultures, when injected intravenously into rabbits and other animals, produce necrosis of the large intestine into which they are excreted by some selective action. One c.c. of the filtrate of freshly isolated dysentery cultures injected intraperitoneally is fatal to a rabbit. In two experiments on man, one intentional, the other accidental, ingestion of the pure cultures was followed, within a short time, by well-marked symptoms of dysentery. The bacillus agglutinates with the blood serum of " epidemic dysentery in dilutions of 1 in 10 to 200.*[1] Furthermore, Shiga claims by immunizing animals to have produced a serum which has reduced the mortality in " epidemic " dysentery in Japan from about 35 per cent, to 9 per cent.
The cultural characters of B. dysenteriœ are subject to great variation. As a consequence considerable confusion has arisen; but it is now generally conceded that, though indicating different strains of bacilli, these differences are not specific. The Table which will be found on p. 509 indicates the leading characters of the various strains and a comparison with other pathogenic intestinal bacilli.
Many strains of B. dysenteriœ have been described, and though all resemble each other in their gross cultural characters on solid media, etc., yet they differ considerably from each other in their chemical reactions with solutions of various sugars and in their production of indol. Thus Ohno has described over fifteen varieties, but more recent work indicates that there are probably nothing like this number, and that many of the sugar reactions not only vary according to the length of time of subculture, but even from day to day for given strains of the bacillus. On only one point is there universal agreement, and that is in the property possessed by bacilli of the acid or Flexner group of producing acid from mannite, and the lack of acid production in this sugar by the non-acid or Shiga group. Shiga now recognizes five types which he uses for the production of polyvalent anti-serum in Japan. These are:
- (1) Fermenting dextrose alone (Shiga-Kruse). '
- (2) The true Flexner bacillus, fermenting dextrose and mannite and saccharose.
- (3) The " Y " bacillus, fermenting dextrose and mannite.
- (4) Fermenting dextrose, maltose, and saccharose.
- (5) Fermenting dextrose and maltose, but giving only a feebly acid reaction with mannite.
There is also great variation in the toxicity of various strains of bacilli, especially after long subculture on artificial media. The serum of an animal injected with one strain will agglutinate bacilli of another in high dilutions. Even the serological tests of patients suffering from dysentery caused by one type of bacillus give uncertain results. Penfold and others have shown that cultural reactions which are constant for one type of bacillus can be made to vary by growing the same bacillus under different conditions, and even passage through the intestinal tract of a fly may exert a temporary influence on their power of fermentation (Bahr). The three main types of bacilli now recognized are the Shiga-Kruse, the Flexner, and the bacillus of Hiss and Russel. (See Table on p. 509.)
In the Journal of Experimental Pathology (1898) there appears an account of a limited but very fatal epidemic in the United States in which Bacillus pyocyaneus was found. Calmette and Maggiora report that they also have encountered this bacterium in dysentery, as well as in infantile diarrhœa.
The case-mortality from bacillary dysentery varies greatly in different parts of the world, depending to a great extent on the age and social status of those attacked. In Japan it is about 24 per cent.; in French epidemics it has been as high as 50 per cent.; in Fiji it is about 13 per cent, at the present day, though formerly a much more fatal form existed. It is especially fatal to children, in whom it is commonly found, and in whom the toxic effects are most marked; death being due to heart failure, probably consequent on toxic absorption.
Pathology of bacillary dysentery.— The large intestine is the seat of the affection; in some cases the last few feet of the ileum also may be attacked. In early cases the gut wall is thickened and infiltrated, the mucous membrane œdematous and of a cherry-red colour showing small yellow superficial ulcers along the exposed borders and folds. In severe cases, or cases in which the disease has lasted for some time, the mucous membrane may be entirely gangrenous, of a bright-green colour, and forming what appears to be a false membrane on the surface of the bowel. This change extends down to the anus, though the cæcum and the sigmoid flexure are the areas most severely attacked. The puckered or stippled appearance of this green layer is very characteristic. At a further stage large pieces of mucous membrane slough away, leaving ragged irregular ulcers and exposing the muscular coat. The process appears to start from the solitary lymphoid
| Organism | Character | Motility | Flagella | Glucose peptone water | Maltose peptone water | Lactose peptone water | Saccharose peptone water | Mannite peptone water | Dexterin peptone water | Litmus milk | Potato | Gelatin stab | Indol |
| Bacillus typhosus | Oval rods with rounded ends 2 μ x 0·6 μ | + | 8—12 | A | A | 0 | 0 | A | A | A slight |
Scanty moist yellowish growth | Slight white growth in 48 hours. No gas | None |
| Bacillus coli* | Oval rods 2—4 μ x 0·4. 0·6 μ | ∓ | 3—4 | AG | AG | AG | AG∓ | AG | AG | A/Clot | Thick moist brownish growth | Slight white growth Gas bubbles | + |
| Bacillus enteritidis (Gärtner) | Same as typhoid | + | Peritrichous flagella | AG | AG | 0 | 0 | AG | AG | A/Alk. | Same as typhoid | Same as typhoid | ∓ |
| Bacillus paratyphosus (A. Brion-Keyser and B. Schottmüller) | Same as typhoid | + | 8—12 | AG | AG | 0 | 0 | AG | AG | A/Alk. | Same as typhoid„ | Same as typhoid„ | None |
| Shiga's dysentery bacillus | Fine rods with rounded ends 1 μ in length x 0·5 μ | None | None | A | 0 | 0 | 0 | 0 | 0 | A/Alk. | Thin grey growth | Thin slimy growth | ∓ |
| Flexner's dysentery bacillus | Fine rods with rounded ends 1 μ in length x 0·5 μ„ | None | None | A | 0 | 0 | 0 | 0 | 0 | A/Alk. | Thin grey growth„ | Thin slimy growth„ | ∓ |
| Hiss and Russel's paradysentery "Y bacillus"† | Fine rods with rounded ends 1 μ in length x 0·5 μ„ | None | None | A | A∓ | 0 | 0 | A | 0 | A/Alk. | Thin grey growth„ | Thin slimy growth„ | ∓ |
| * Produces fluorescence in neutral red glucose peptone water | † In asylum dysentery, especially in Germany | ||||||||||||
| A = Acid. | AG = Acid and gas. | 0 = No change. | A/Alk. = Acid first, alkaline after further incubation. | ||||||||||
| ∓ = Variable: sometimes positive, sometimes negative. | |||||||||||||
The microscopic pathology varies with the severity of the lesions. In the gangrenous form the epithelial cells of the mucous layer can no longer be distinguished, the whole of the mucous membrane undergoing coagulation necrosis with destruction of the glandular elements. The muscularis mucosse may be intact, or in places destroyed. The outstanding feature is the infiltration of the submucosa (Plate VIII.) and destruction of the nutrient blood-vessels. (These appearances are very similar to those produced in the large intestine of rabbits by intravenous injection of dysenteric toxins.) In subacute cases portions of the crypts can still be distinguished, but the cells stain badly and are vacuolated, and the submucosa is invaded by large wandering plasma cells, liable in sections to be mistaken for amœbæ. Dysentery and other bacilli can be seen crowding the mucous layer and in the lymphoid follicles, but bacilli are not found in the subinucous layer save where there is a break in continuity of the muscularis mucosæ. The muscular coat is normal.
By employing the appropriate technique (see p. 530) the dysentery bacillus can be isolated from the necrotic mucous membrane and also from the mesenteric glands, occasionally from the gall-bladder, but never from the blood.
AMŒBIC DYSENTERY

Microscopical section of the large intestine in bacillary dysentery, showing necrosis of the mucosa, cellular infiltration and hæmorrhages into the submucosa. (After Bahr.)
Plate VIII.
According to Rogers this is by much the most common form of dysentery in India, being at least twice as common as the bacillary. Cases occasionally originate in Great Britain, probably from infection brought from abroad.
As a practical point it may be mentioned that amœbic dysentery may concur with bacillary, or with balantidium, or with verminous dysentery. This circumstance must not be overlooked, either in practice or in pathological studies.
The amœba.— The discovery of the presence of amœbæ in the stools of dysenteries, originally pointed out by Lösch, naturally created much interest. Although within the last few years a large literature has grown up around the subject, and although some definite conclusions, both as regards the bionomics of the amoeba and its relation to the disease, have been arrived at, some confusion and uncertainty still remain. Originally regarded by pathologists as a single and definite organism, and called Amœba coli, it is now recognized that there are several distinct species of amoebae to be found in the intestinal canal of man, some of which are pathogenic, others possibly harmless; some true parasites, others ordinary saprophytic amœbæ. Schaudinn maintained that there are two well-defined true parasitic species; these he named respectively Entamœba coli and Entamœba histolytica. The former he regarded as non- pathogenic, the latter as the specific germ of amœbic dysentery. Although more recent protozoologists have upset some of Schaudinn's views on the bionomics of the dysentery amœba, and have renamed it Amœba tetragena, pathologists have

Fig. 78.—Entamœba coli. (After Casagrandi and Barbagallo, Allbutt and Rolleston's "System of Medicine.")
1, 2, Living amœbæ showing changes of form and vacuolation of the endoplasm; 3, 4, 5, amœbæ showing different condition of the nucleus (n); 6, amœba with eight nuclei preparing for multiple fission; 7, encysted amœba containing eight nuclei; 8, cyst from which young amœbæ are escaping; 9, 10, young free amœbæ; n, nucleus; v, vacuoles.

Fig. 79.—Entamœba histolytica (tetragena). (After Wenyon.)
1, 2, Free vegetative forms; 3-7, encysted forms containing one to four nuclei in varying stages of development; n, nucleus; v, vacuoles; cb, chromidial body; b, ingested bacillus; rbc, red blood-corpuscles.
| Entamœba coli. | Entamœba histolytica |
| Size 15-25 μ. | (tetragena). Size 20-30 μ. |
| No well-marked distinction between ecto- and endoplasm; latter stains more deeply. | Ectoplasm distinct, much more refractile and more deeply staining than the finely granular endoplasm. |
| Rarely shows a vacuole. | Usually one or more non-contractile vacuoles. |
| Rarely contains erythrocytes, crystals, or bacteria, etc. | Often contains large numbers of erythrocytes, crystals, bacteria, etc. |
| Nucleus sub-central and almost always visible; stains deeply; shows a well-marked, rather thick, and very refractile nuclear membrane; contains nucleolus and large amount of chromatin. | Nucleus excentric, small, usually indistinct, stains feebly, contains little chromatin, and has no marked nuclear membrane. |
| Motility very sluggish. | Motility more marked and definite. |
| Multiplication in the intestine by binary fission. On fæces becoming hard, or outside the body, encystment and formation of eight amœbulæ which are set free when swallowed. | Multiplication in the intestine by fission.[3] On faeces becoming hard, or outside the body, encystment formation of four amœbulæ which develop when swallowed. |
The majority of authorities do not recognize a sexual cycle in either species.
While many observers, partly as the result of their own work, but principally it would appear in deference to Schaudinn's great authority, have accepted in the main these descriptions, there are others, notably Musgrave and Clegg, who declare, after careful work extending over several years and carried on in exceptionally favourable circumstances, that they fail to confirm Schaudinn's statements.

Fig. 80.—Dysentery amœba.
a, Amœba dysenteriæ fixed and stained (Councilman); b, A. dysenteriæ in stools (After Lösch, Virchow's "Archiv," Bd. lxv.)
When present in stools, the amœbæ (Fig. 80) are generally easy to find. All the preparation necessary is to pick out a small fragment of stool shortly after it has been passed, and then to lay this on the slide and compress it sufficiently under the cover-glass to form a fairly transparent film. They are said to be most readily found in the watery stools produced by a saline purgative; doubtless because they are washed from off the surface of the bowel by the action of the drug. In hot weather a warm stage is not required; but in cold weather it is well, until the observer has become by practice familiar with the appearance of the parasite in its passive condition, to warm the slide. This, in the absence of more elaborate apparatus, may be conveniently done by placing the slide on a copper or tin plate with a hole cut in it to allow of the transmission of light. Such a warm stage should be provided with a long arm to the end of which a spirit-lamp is applied, care being taken not to raise the temperature of the slide above blood heat. Search is then made with a half-inch objective. The dysentery amoeba is a clear, faintly greenish-tinted, transparent body, some three to five times the diameter of a red blood-corpuscle. In its vegetative phase it is recognizable by its movements, which closely resemble those of the ordinary fresh- water amœba. The faintly granular endosarc surrounded by the very clear ectosarc is distinguishable. The nucleus may sometimes be detected in the endosarc, as well as one or two non-contractile vacuoles, and, generally, various extraneous bodies such as blood corpuscles, bacteria, and so forth, which the amoeba has included. As the temperature of the slide approaches blood heat the amoebae send out and retract rounded pseudopodia. These when first protruded consist of ectosarc only; but when the clear protrusion of ectosarc has been extended a little way the endosarc is seen suddenly to burst, as it were, and flow into it. If the temperature of the slide be allowed to fall below 75F. the parasite will assume a sharply outlined spherical form and remain quite passive until the slide is again warmed up, when the creeping movement may be resumed. The parasite will keep alive on the slide and exhibit movement for an hour or longer. In certain specimens heat fails to induce movement, the amoeba remaining spherical and passive, being either dead or having become encysted.
There can be no question as to the occurrence of this parasite in certain cases of dysentery, but it is not so easy to determine its exact significance in relation to the disease. It is found not only in the mucus lying on or thrown off by the inflamed bowel, but also in the sloughs on the ulcerated surface, in the tissues constituting the base and sides of the ulcef, and in the still living and relatively healthy tissues for some distance around the lesion, even in the muscular layers, and in the capillaries of the serous coat. This intimacy of association constitutes a good prima-facie reason for regarding the parasite as the cause of the disease. On the other hand, there are cases of relapsing dysentery with clinical characters such as are described as belonging to amœbic dysentery in which the amœba cannot be found. Moreover, as is well known, the amœba, or an amœba which to the clinician is hard to distinguish from Entamœba histolytica, is often found in perfectly healthy stools, in cases in which there is no reason whatever to suspect the existence of disease of the alimentary canal.*[4] This occurrence of amœbæ in the stools of healthy individuals, and their absence from the stools in a proportion of cases possessing the clinical characters of the type called "amœbic," have suggested caution in definitely accepting the micro-organism as the true cause of this type of dysenteric disease, and suggest a suspicion that after all it may be merely an epiphenomenon. Evidence, however, is steadily accumulating corroborative of Schaudinn's opinion.
Many attempts have been made to induce dysentery by the injection of animals, or by feeding them with material— stools, liver pus, cultures— containing amœbæ. In a proportion of instances, especially where injections were used, amœbic dysentery has resulted. But as it is impossible to secure the amœba in pure culture, unless it may be in liver pus, these experiments are open to the objection that the successes depended possibly not on the amœbæ present, but on other micro-organisms of a pathogenic nature unavoidably introduced at the same time.
Especially important is one of Schaudinn's experiments. It has a very distinct bearing on the way in which dysentery may be acquired tinder natural conditions, and as indicating the necessity for the immediate disinfection or destruction of dysenteric stools. Schaudinn fed cats on fresh dysenteric stool without inducing disease; but when he carefully dried the stools at natural temperatures, that is to say, when he had induced the Entamœbœ histolyticœ, they contained to encyst and form encapsuled spores, and then administered the material to cats, he produced typical amœbic dysentery. In other words, the amœbae in fresh stool, being in their unprotected vegetative state, were destroyed by the gastric
with perhaps quite as good a claim to be considered pathogenic, inasmuch as they can be detected only in specially prepared cultures, elude the eye, even of the sharpest observer, in stools prepared in the ordinary way.
Craig, Vedder, and Hoyt have found cysts of A. coli in 70 per cent, of Filipinos and in 50 per cent, of American soldiers in the Philippines— the examinations having being made after the administration of Rochelle salts. juice; but their resistant spores in dried stool, not being affected by this secretion, passed on through the stomach, to develop in the lower bowel. This experiment has been amply confirmed, especially by Wenyon and Darling.* [5]
Histolytica cysts are common in the stools of patients during the latent period of the disease, and also in the stools of normal natives (Hartmann), who thus may be regarded as being carriers of the infection.
The intimate connection of abscess of the liver with dysentery, and the presence of amœbæ in the contents of a large proportion of liver abscesses, are now well-ascertained facts, and constitute a powerful, though by no means conclusive, argument for regarding the amœba as an etiological element, if not the cause, of amœbic dysentery.
There is yet another circumstance in connection with liver abscess which is not without significance. In a large proportion of liver abscesses the usual pyogenic bacteria are absent. This has been proved over and over again. Cultures made with such pus generally remain sterile. It is a very suggestive coincidence that it is just in those forms of suppuratiye hepatitis in which the usual pyogenic organisms are absent that this other parasite is present. Moreover, a liver abscess is not like ordinary abscesses; it has no proper abscess wall. Liver pus is not like pus elsewhere: it contains proportionately very few pus corpuscles; but it contains much tissue debris, many blood cells, and much granular matter. As an abscess it is altogether peculiar. A peculiar effect suggests a peculiar cause. Anyone who has watched the movements of amœbæ on the warm stage can readily understand how such an organism might break down and separate the anatomical elements of a friable organ like the liver, and so cause a softening a cavity resembling an abscess. It feeds on the tissues, in fact, and to grow and multiply it must disintegrate their structures and consume their cells. Amœbæ occur much more frequently in liver abscess than is generally supposed; a circumstance strengthening the argument for regarding this parasite as being in causal relationship to that lesion, and therefore, pro tanto, to dysentery. In support of this statement, I may mention that recently Wenyon has produced not only amœbic dysentery but also liver abscess in cats by injecting stools containing large numbers of E. tetragena cysts, while similar experiments with E. coli cysts were uniformly negative.*[6]
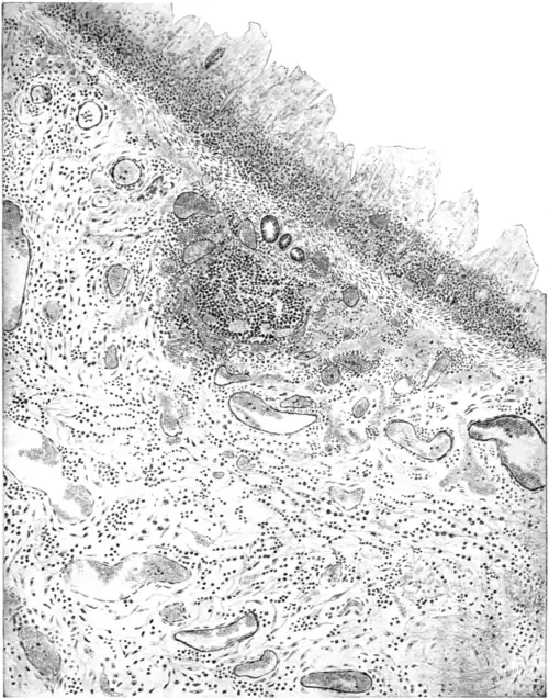
'Pathology of amœbic dysentery.— The main seat of the ulceration in amœbic dysentery is the large intestine; the small is rarely affected, though the lymphatic glands and liver may be invaded. Single or multiple abscesses of the latter organ are often concomitant features.
It is probable that amœbic lesions unmodified by bacterial action are rarely seen. In nearly every fatal case the mucous membrane is the subject of a secondary bacterial infection, so intense as to destroy all the amœbæ, which can in such cases be demonstrated only in the deeper layers of the intestinal 'wall.
The ulcers, which are most numerous in the cæcum, hepatic, splenic, and sigmoid flexures, may be recognized by their circumscribed, punched-out appearance, the loss of tissue extending down to the muscular coats; the intervening mucous membrane may be normal or show varying degrees of inflammatory change. The coats of the intestine are much thickened; the degree of thickening depending on the chronicity of the infection; they may be matted together and adherent to the liver and spleen. The intestines themselves are very friable and easily tear when handled.
In chronic cases polypoid gangrenous tags of mucous membrane hang into the lumen of the gut. The surface of isolated ulcers may be covered with large yellow and gangrenous sloughs. The intestinal contents in these cases are composed of dark, almost black hæmorrhagic fæcal matter possessing a characteristic penetrating odour. Circumscribed areas of the large intestine, or the entire mucosa, may be thus affected, and may then resemble lesions of bacillary origin in which extensive sloughing has taken place. Perforation of the large intestine, resulting in purulent peritonitis, is common. Ulceration of the appendix may also be found. Contractions often leading to occlusion and scars, and pigmentation at the seat of old ulcerations, are commonly encountered in juxta-position to areas of bowel in which the process is still active.
Microscopic sections through an amœbic ulcer (Fig. 81) reveal amœbæ invading the submucous coat. There are subacute concomitant inflammatory changes. The blood-vessels are dilated. There are no hæmorrhages, but the tissue reaction, as evidenced by invasion by fibroblasts and by round-cell infiltration, is not marked. Red blood-corpuscles may often be demonstrated inside the amœbæ. In more extensive cases, where ulceration has extended into the circular muscular coat, amœbæ may be seen penetrating between the fibres and even inside the dilated capillary vessels of the serous coat.
The adjacent apparently healthy mucous membrane shows comparatively few microscopic changes ; there is some round-cell infiltration of the interstitial tissue, into which amœbæ may be seen penetrating and actually lying within the crypts of Lieberkiihn. Bacilli can be demonstrated in great numbers in the superficial layers of the ulcer. The amœbæ can be stained in sections by hæmatoxylin and eosin or by iron hæmatoxylin (see p. 529). In miliary abscesses of the liver amœbæ may be demonstrated lying amongst the necrotic cells; even in inflamed liver tissue which has not yet proceeded to pus formation they may be occasionally recognized.

Fig. 81.—Transverse section through base of an amœbic ulcer. (After Bohr.)
A, Amœba in the submucous layer and invading the mucous membrane where a section passes through a fold of apparently healthy mucosa.
Stained by Heidenhain's iron-hæmatoxylin.
Pathogenic bacilli have not been isolated from the heart's blood or from other organs.
The main points of distinction in the pathology of the two leading forms of dysentery are summarized in the following table:—
| Bacillary | Amœbic |
| An acute diffuse inflammation of the mucous membrane of the large intestine, leading to necrosis and destruction of glandular tissue. | A local lesion of the large bowel, with characteristic ulceration due to penetration of mucosa and submucosa by amœbæ. |
| No diffuse necrosis except in cases where secondary bacterial infection has taken place. | |
| Ileum often affected. | Ileum rarely affected. |
| Perforation of intestine and intestinal adhesions rare. | Perforation of intestine and intestinal adhesions common. |
| In some cases hæmorrhage and destruction of nutrient vessels and infiltration of submucosa to such a degree as to render recovery of function impossible. | Infiltration of submucosa not marked. Local ulceration often extends down to serous coat. |
| Other organs not implicated. | Liver often implicated. |
| B. dysenteriæ can be isolated from necrosed mucous membrane and from the stools. | Amœbæ demonstrable in local lesions and in the stools. |
As already indicated, mixed infections of both forms may occur.
Balantidium Dysentery
The occasional occurrence of Balantidium coli in the fæces, particularly in association with dysenteric diarrhœa, has been recognized for the last fifty years. It is only lately, and more particularly since Strong and Musgrave called attention to the subject, that B. coli has come to be regarded as the germ cause of a particular type of colitis resembling in many respects amœbic dysentery. The parasite has been studied zoologically, more especially in temperate climates, but it seems probable that extended observation will show that the balantidium is equally if not more prevalent in warm climates.
Balantidium coli is an oval-shaped ciliated infusorian measuring 0·07 to 0·1 mm. by 0·05 to 0·07 mm. Its anatomical characters may be gathered from Fig. 82. It reproduces by division, budding, and conjugation. Occasionally, losing its cilia, it may become encysted.
How it attains the human intestine is not known, but as it is a common parasite of the pig and apes, in which it occasions a fatal form of dysentery, it is likely that one or other of these animals is a usual source of infection. As attempts to infect animals experimentally have failed, it is reasonable to conclude that the infusorian, on occasion, assumes some resistant form which enables it to withstand the gastric and intestinal juices on the way to its habitat, the end of the ileum and the large intestine. Although it may live for a considerable time in water or fæces (one hour to three days), it has not been grown on culture media. In liquid stools the balantidium exhibits great activity, indulging in locomotive as well as in rotary movements.
The symptoms of balantidium dysentery are, in the present state of knowledge, indistinguishable from those of other forms of dysentery. The disease is chronic in type, its special nature being discoverable only on microscopical examination of the stools. Generally only one or two balantidia are found, but as many as twenty may be seen at a time in every field of the microscope.

Fig. 82.—Balantidium coli.
In the large number of cases collected from different authors by Strong, together with those observed by himself, the mortality amounted to about 30 per cent. In many cases there were no symptoms save occasional diarrhœa. How much of this was due to the parasite and how much to concurrent and independent disease it is difficult to state.
In 30 cases in which autopsies have been made a variety of dysenteric lesions, from catarrhal congestion and diphtheritic patches to extensive ulceration, have been found. On section Strong demonstrated the balantidium not only in exudate on the surface of the bowel, but congregated in large numbers in. the follicles, and embedded in the tissues forming the base of the ulcerations, including submucosa and muscular coat, and even in the lumen of blood-vessels and lymphatics. Bowman mentions that the colon is affected in its whole extent with a mass of ulcers from which hang shreds of necrotic tissue— lesions resembling those of amœbic dysentery.
In the treatment of balantidial dysentery Walker finds from his experimental work that organic compounds of silver are the most effective. Barlow recommends methylene blue in 2-grain doses three times a day for not less than ten days.
LAMBLIA INFECTION
Besides E. histolytica, E. coli, and B. coli, certain other protozoa occur from time to time in the intestinal canal and appear in the fæces. Of these, perhaps Lamblia intestinalis has the best claim to be regarded as of pathological importance. Its usual habitat is the upper part of the small intestine. When newly passed in the fæces it is very active,presenting a characteristic appearance (see p. 939).
Lamblia infection is associated at times with a type of recurring diarrhœa accompanied with abdominal discomfort and the passage of mucus in which the free form of the parasite may be found in vast numbers. On recovery from one of these attacks only the encysted form of the lamblia can be found. Drugs, including emetine, have hitherto failed to eradicate this parasite, which may continue to appear in the stools, either in the flagellate form or encysted, for many years.
Trichemonas intestinalis, though more common than the foregoing, has less, if any, claim to pathogenicity. Its presence seems to be favoured by conditions in which diarrhœa or fluidity of stool is a feature.*[7]
The germs of dysentery often water-borne.— Notwithstanding the vast amount of speculation, time, and work expended in endeavouring to ascertain what the germ or germs of dysentery may be, it cannot be said that as yet we are even near the complete solution of the problem. One thing, however, is fairly well ascertained, and that is that these germs are often introduced by means of drinking-water. The statistically ascertained improvement in the public health in respect of dysentery in such large towns as Calcutta and Madras, following so closely on the introduction of improved water supplies, and the improvement in the health of the British Navy following the introduction of regulations requiring that in all places in which the water supply is not above suspicion the drinking-water served out to the men shall be distilled, constitute powerful testimony in favour of regarding dysentery as a water-borne disease. This conclusion receives additional support from the occurrence of epidemics of dysentery in the crews of ships which have watered at polluted sources, as well as from the occurrence of similar epidemics in large institutions in which, by some accident, surface water has leaked into the water supply. This does not exclude the possibility of other sources of infection, such as privies, dust, flies (especially), fouled vegetables, and the vessels or instruments used by dysenteries.
The germs of dysentery may be fly-borne. —In certain parts of the world Fiji, for example where water can be definitely excluded as a source of infection and where extensive epidemics of dysentery are of annual occurrence, it seems probable that the germ is conveyed and diffused by house-flies. Bahr has shown by direct observation that flies fed on fæcal matter containing dysentery bacilli ingest the germ, which they may subsequently deposit on human food either in their own fæces, or by regurgitation, or by their soiled feet. This observer associates the annual dysentery epidemics in Fiji with the concurrent enormous multiplication of house-flies, and has isolated dysentery bacilli from the intestinal tract of wild flies caught in the vicinity of patients suffering from the disease. In the case of the dysentery bacillus he has cor firmed Graham-Smith's observation on the persistent vitality and virulence of bacilli of the coli group in the intestinal tract of the domestic fly, where they are capable of surviving five or more days. The same holds good as regards amœbic dysentery. Wenyon found E. histolytica cysts in the intestinal canal of flies that had fed on dysentery stools.
Predisposing and exciting causes.— It seems not improbable that, in conditions of sound health, the several pathogenic organisms of dysentery may exist in and pass through the alimentary canal without attacking the tissues or giving rise to disease. So long as the mucous surface is sound and vigorous, it has considerable power of protecting itself against many such organisms. It is very probably the same in this respect with the dysentery germ or germs as with the cholera vibrio. Probably it is only on the establishment of some condition of lowered vitality, such as may be induced by catarrhal troubles, chill (a powerful excitant of dysentery), irritating food, bad food, constipation, malaria, scurvy, starvation, and so forth— all well-recognized exciting causes —that the dysentery germ can overpower the natural protective agencies and light up the specific lesions. It is a well-known fact that it is in such circumstances that dysentery is most apt to declare itself. Hence the importance of avoiding these things in tropical climates, more especially in the presence of a bad water supply or of an epidemic.
The capacity for latency often exhibited by the germs of dysentery, as of some other intestinal germs, sprue for example, is remarkable. I have encountered cases in which a dysenteric infection (amoebic) contracted in the tropics did not manifest itself for several months after the patient had returned to England. I have also encountered dysenteries that recurred in England at intervals of one, two, and more years up to twenty after infection originally acquired in Egypt.
Influence of age, sex, and occupation.— All ages are subject to dysentery. Children are especially liable to the bacillary form, which in them is often fatal. Occupation has no special influence. Both sexes are liable. Pregnancy, miscarriage, and the puerperal state are grave complications.
Diagnosis.—Provided reasonable care be exercised, diagnosis, especially in acute cases, is usually easy. In chronic cases the question of seat worms, hæmorrhoids, polypus, stricture, tubercle, malignant and specific disease, proctitis, ulceration, abscess about the rectum, and tumour in the bowel may require to be considered. Diagnosis must never be taken for granted. In every case stools must be inspected; and in every case in which there is any probability of rectal disease some of the methods of digital or specular examination must be carried out.
A diagnosis of dysentery having been arrived at, it becomes necessary, especially in view of treatment, to arrive at a correct conclusion as to the type of the particular case. As the practitioner has principally to deal with either bacillary or amœbic dysenteries (very rarely with other forms) he should at once set about ascertaining to which of these two categories it belongs. The following table enumerates the points to be attended to:—
| Amœbic Dysentery | Bacillary Dysentery |
| Clinical.—Insidious commencement as a rule. No fever in uncomplicated cases. Generally subacute or chronic in type. Prone to recur or relapse. Often associated with hepatitis and liver abscess. | Generally acute in character. Often an initial fever. Runs its course and not prone to relapse; one attack confers a certain degree of immunity. |
| Bacteriological.—No serum reaction. Entamœba histolytica in stools. | Serum agglutinates cultures of B. dysenteriæ, which can be cultured from the stools on Conradi-Drygalski medium. Absence of Entamœba histolytica from the stools. |
| Reaction to treatment.—Rapidly improves on emetine or ipecacuanha treatment. | Not affected by emetine or by ipecacuanha, but reacts to injection of polyvalent antiserum. |
The Entamœba histolytica when present is usually easily found in the stools, and is readily recognized by the technique described at p. 515.
Unfortunately, from the point of view of rapid diagnosis, in severe cases of amoebic origin (such as those described by Kuenen and others, and in which gangrenous sloughs are common in the stools) the amœba cannot as a rule be demonstrated during life, though it may be found in sections of the gut post mortem. In such cases it seems probable that the amœba has been removed from the superficial layers of the bowel by a secondary bacterial infection. It is necessary to bear this in mind in view of the specific treatment appropriate to these apparently desperate cases (see p. 538). And for the same reason it must not be overlooked that cases of mixed infection with B. dysenterice and Entamceba histolytica do occur; such cases have been reported by Rogers.
In order to obtain permanent preparations it is necessary to fix the amœbæ while still alive; desiccation distorts them to such an extent as to obliterate all their liner structural characters. For this purpose Schaudinn and Wasieliewski have invented a special technique which gives perfect pictures of the nucleus, disposition 'of protoplasm, vacuoles, etc. The following is a summary of their rather complicated methods:—
Methods for Staining Amœbœ in Stools
1. Schaudinn's method.— Can be used either for demon-
strating amœbæ in films or an abbreviated form for showing
the organisms in sections of tissue. A thin film of the mucus
is made on a cover-glass and dropped while still wet, face
downwards, into a Petri dish containing a fixing mixture, which
should be heated to steaming-point (50° C.).
- (1) Fixing mixture. Absolute alcohol, ½; corrosive sublimate,⅔; and ½ per cent, glacial acetic; fifteen minutes.
- (2) Rinse in weak spirit.
- (3) Alcohol 70 per cent.; ten minutes.
- (4) Alcohol 70 per cent, and iodine (to dissolve corrosive sublimate); half an hour.
- (5) Alcohol 90 per cent.; twenty minutes to one hour.
- (6) Through alcohols of decreasing strength to tap- water.
- (7) Place film upwards in 4-per-cent. iron-alum overnight.
- (8) Rinse in distilled water and place in Heidenhain's iron-hæmatoxylin solution six to twenty-four hours.
- (9) Differentiate in 1 -per- cent, iron-alum solution under microscope till nuclei of amœbæ are clear.
- (10) Pass through increasing strength of alcohols up to absolute, then two changes of xylol, and mount in Canada balsam.
N.B. The films must not at any time be allowed to dry. 2. Wasieliew ski's method.— Wasieliewski has obtained (1913) very beautiful specimens of amœbæ stained by Giemsa. The films are made on cover-glasses, fixed in osmicacid vapour, rinsed in distilled water, and stained with dilute Giemsa (1:20 dilution). This method is not so good as the foregoing for demonstrating the nuclear structure.
Isolation of B. dysenteric from the stools.— The stool is collected under as aseptic conditions as is possible. A flake of mucus is taken up with a sterilized platinum loop and diluted with sterile normal saline or broth. Some observers prefer to incubate in McConkey's bile-broth, which inhibits the growth of all but bacilli of the coli group. Large plates (6-in. Petri dishes) of Conradi-Drygalski medium*[8] (crystal-violet-litmus-lactose-nutrose agar), or of lactose-neutral-red agar,†[9] are then spread in various dilutions and incubated. On Conradi-Drygalski the colonies of the dysentery bacillus are recognizable in twenty-four hours by their transparent blue colour, and on neutral-red-agar by their transparency in contradistinction to the red colonies of B. coli. Such colonies often smell strongly of spermin. The bacilli are further recognized by their morphology, their Gram-negative character, their sugar reactions, agglutination tests with the patient's serum and a polyvalent serum, and further b) T their toxic action on guineapigs when injected intraperitoneally.
In African and West Indian cases the possibility of bilharzia disease must be borne in mind, and a microscopical examination made of the urinary sediments and of the faeces. So, too, in cases from the Far East, Schistosomum japonicum and other intestinal and hepatic parasites must not be forgotten.
In children, especially, intussusception may occur independently, or as a complication of dysentery; the possibility of this must not be overlooked.
Chronic dysentery is often diagnosed chronic diarrhœa or even sprue. This error will be avoided by careful inquiry into the early history of the case, the detection of mucus, of amoebae, of leucocytes or of red blood-corpuscles in the stools, and the occurrence of tenesmiis. Careful inquiry for any history there may be of occasional exacerbations in which straining, d blood and mucus in the stools, are more or less prominent features, will often lead to a correct diagnosis.
Treatment.— The treatment of dysentery requires much judgment and very careful supervision. In former days it was the fashion to bleed repeatedly and to a large amount, and at the same time to administer large doses of calomel— amounting in the aggregate to ounces— and of opium. It is not to be wondered at that the mortality was excessive.
Nowadays better and more rational methods prevail. A most important part of our modern plans has for its object not only the suppression of the germ cause of the disease, but also to afford the diseased organs favourable conditions for repair; not so much to endeavour to heal them as to give them the opportunity of healing themselves.
If called on to treat a case of what appears to be dysentery, our first duty is to assure ourselves that the diagnosis is correct. We must inspect the stools, though unfortunately we cannot differentiate from mere inspection alone to which form the dysenteric stool belongs, and, until the case is quite recovered, we must inspect them daily or frequently. Their condition is the surest guide in the management of this disease. From them we can form a fairly accurate idea of what is going on in the bowel, and from them we can judge of the effects of diet and of drugs.
Importance of rest.— It is with an inflamed bowel as with an inflamed joint: the first and all-important indication to fulfil is, after removing the causes of irritation, to place the part at rest. Could these two indications— the removal of the cause of irritation and the repose of the organ affected— be fulfilled thoroughly, repair would at once set in. Unfortunately, the affected surface being so inaccessible, we cannot always remove the irritant by directly applied local treatment, nor can we place the parts involved at absolute rest. We can, however, partially meet these indications— quite sufficiently, as a rule, to ensure recovery.
The patient, then, should at once be sent to bed. This in itself has a marked influence on the bowel. Repose must be as nearly complete as possible. In acute cases and during exacerbations in chronic cases the patient must not be allowed to get out of bed; when he has a call to stool he must use the bed-pan. To a certain extent this enforcement of rest is com parable to the placing of an inflamed leg in a splint and elevating it. It ensures some degree of mechanical rest, and relieves the blood-vessels of the inflamed part of a certain amount of hydrostatic pressure.
Food in acute, dysentery.— The indication of rest we further endeavour to meet by stopping all solid food. Were it possible, it would be well to stop all food. This, of course, is impossible, and so we make a compromise between the therapeutical indication and physiological necessity by reducing the diet to a minimum and selecting only such foods as, while possessing considerable nutritive value, yield but a small or non-irritating fæcal residue. The tongue is a fair index to the sort of food most likely to suit the case. When this organ is coated, indicating gastric catarrh, small quantities of thin chicken soup, egg albumin, thin barley- or rice-water, are better borne than milk; when the tongue is or has become clean, then milk, pure, diluted with barley- or rice-water, or peptonized, is the best diet. Alcohol is generally contraindicated, but in cases of collapse small feeds of white wine whey may be given with advantage. These foods should be taken in small quantities at a time, a little every hour or two. They must be given neither hot nor cold, as food when either too hot or too cold is apt to excite peristalsis and to cause colic and straining.
Malaria and scorbutus.— If upon inquiry it is found that there is reason to suspect either a malarial or a scorbutic element in the case, treatment must be modified accordingly. Careful practitioners never forget to ascertain if these important complicating elements are present or not. If malaria be suspected, or if temperature is markedly raised, it is well to make a careful microscopical examination of the blood for the parasite; if this be found, then quinine must be freely administered either by the mouth or, if the bowels are very irritable, by intramuscular injection. The presence of scorbutus, of course, indicates fruit juices and fresh unboiled milk, in addition to the usual treatment for dysentery.
Drug treatment.— A dose of castor oil and laudanum is a good preliminary in the treatment of dysentery; indeed, many cases are promptly checked thereby, and require no further treatment beyond rest and dieting for a day or two.
The drugs which have proved of most service in the treatment of severe dysentery are ipecacuanha, or its alkaloid emetine, in amoebic dysentery, and one or other of the aperient sulphates either of magnesium or of sodium, opium, and calomel in bacillary dysentery. In this latter variety subcutaneous or intravenous injections of a polyvalent antiserum (Shiga's or Lister Institute) should be administered, together with aperient salines. Until a microscopical examination of the stools has been made it is difficult to prognosticate in any given case whether ipecacuanha, or its alkaloid, is likely to prove the more effective drug, or whether the sulphates or calomel will answer better. In every case one or the other ought to be exhibited at once; one failing after a fair trial, the other, unless manifestly contraindicated, should get a chance.
Ipecacuanha.— In English practice ipecacuanha, or emetine, is generally the first to be tried. Ipecacuanha must be given on an empty stomach. The best plan is to interdict all food for three hours; then to give 10 or 20 drops of laudanum in a table-spoonful of water and, at the same time, to apply a mustard poultice to the epigastrium. About twenty minutes later, when the patient is coming under the influence of the laudanum, 20 to 30— some give as much as 60— gr. of ipecacuanha in pill, bolus, capsule, or in suspension in about half a wineglassf ul of water, are administered. With a view to prevent vomiting, the patient is directed to lie flat on his back, using a low pillow, and not to eat, drink, speak, or move for at least four hours. Probably he will fall asleep. Should he feel nauseated, he must as much as possible resist the desire to vomit. With the same object in view, when saliva begins to collect in the mouth, as it is apt to do in such circumstances, it must not be swallowed; on a slight sign from the patient the nurse should remove the accumulating saliva with a handkerchief. If much saliva be swallowed, it is sure to provoke vomiting. In some instances these precautions suffice to avert emesis. Should, however, the ipecacuanha be brought up within an hour of its being swallowed, the dose had better be repeated so soon as the nausea has subsided, the same precautions against vomiting being observed.
After six or eight hours, and when all feeling of nausea has subsided, small quantities of food may be given, and frequent and fractional feeding persisted in for six or eight hours, or until the following day, when the dose of ipecacuanha must be repeated. In many instances one or two such doses abort the dysentery, and the acute symptoms rapidly subside. It is wise, however, to go on with the ipecacuanha once or twice a day for at least a week or longer. It is a good practice to reduce the ipecacuanha by 5 gr. every day. If the drug is doing good, copious fseculent pultaceous yellow stools will be passed after a day or two. This diarrhœa, unless excessive and attended with straining or other dysenteric symptoms, must not be checked or regarded as an indication for stopping the drug.
Thus I wrote in previous editions of this work. My opinion of the value of ipecacuanha is still unshaken, but the use of the crude drug, which is attended by many inconveniences, has been superseded in great measure by the hypodermic or intramuscular injections of its alkaloid emetine, as advised by Leonard Eogers. The hydrochloride of emetine is given in doses of ⅓ - 1 gr. in distilled water hypodermically up to 1 gr. a day. The stools generally become normal on the third day, but it is advisable to continue the injections for a week or longer. Unfortunately, one course of the drug does not always prevent relapses, but in such cases, if the injections be persisted with, a permanent cure will generally result. In cases where hypodermic injection cannot be made the emetine may be given per os in capsules in 1-2-gr. doses without provoking vomiting, and in very acute or chronic cases in solution by rectal enemata. The hypodermic injection is often followed by slight irritation at the site of injection, but as a rule by no more serious symptoms. The intramuscular route is free from this objection. It is advisable to combine the emetine treatment with small doses of some aperient, preferably castor oil.
Rogers's discovery was suggested by Vedder's valuable work on the action of ipecacuanha on amœbæ. Working with cultures of S. dysenteriœ, Vedder found that solutions of ipecacuanha had no effect on cultures of that organism, but in cultures of amœbæ he found that a dilution of 1 in 10,000 to 1 in 50,000 was enough to destroy them, though solutions of ipecacuanha sine emetinâ had no deleterious effect. The toxic constituent of the ipecacuanha was thus shown to be the emetine salts; they killed amœbæ in dilutions as high as 1 in 100,000. The physiological action of emetine was ascertained to be negligible; 7.5 gr. failed to produce vomiting when injected into a dog.
The use of emetine, especially its abuse, is not altogether free from risk. In a considerable proportion of cases it gives rise to diarrhœa and, in a few, to degrees of peripheral neuritis characterized by feelings of weakness, sometimes amounting to paresis of the extremities, and impairment of deglutition. Barlow remarks that if it be continued in full doses for from two to four weeks the consequent diarrhœa of irritation may aggravate rather than cure a dysentery.
Aperient sulphates.— In bacillary dysentery ipecacuanha is valueless. In this type of the disease the aperient sulphates are indicated, especially sodium sulphate as being less irritating than magnesium sulphate. Either may be given in drachm doses in a little hot water, or in cinnamon water, every quarter of an hour until a purgative effect is produced; or they may be given in a large dose— half an ounce —to begin with, followed up by smaller doses if necessary. These large doses must not be given when the patient is feeble or in any sense collapsed. Buchanan, speaking from a large experience of dysentery in Indian gaols, recommends one or two tea-spoonfuls of the following stock mixture every one or two hours until free gentle purgation is produced. It should then be continued sufficiently often to secure gentle purgation, and for one or two days after the mucus and blood have disappeared.
| ℞ | Magnesii sulphatis | ℥ij. | |
| Acidi sulphurici dil. | ʒiij. | ||
| Tinct. zingiber. | ʒiij. | ||
| Aquæ | ad | ℥viij. |
If the stools become watery the mixture must be stopped at once. The lessening of tenesmus and the production of copious, soft, fæculent stools are the test of the successful action of the sulphates.
Calomel.—Should these means fail to control a dysentery, and should the bloody mucoid stools persist and the griping and tenesmus continue, recourse may be had to calomel in combination with opium and ipecacuanha—a grain of each every five or six hours—the effect being watched and salivation avoided. Some give calomel from the outset as a routine treatment in dysentery, either in 5-gr. doses every six or eight hours, or in fractional doses every hour. This method was formerly much in vogue in Germany, and is probably best suited to the bacillary forms of the disease.
Bismuth and opium.—As a result of either line of treatment, the dysenteric symptoms may subside rapidly—perhaps entirely. Sometimes, although the stools become fæculent, and the mucus and blood disappear, diarrhœa remains. This generally quickly yields to a salicylate of bismuth (10-20 gr.) and morphia (1/12 gr.) mixture.
Other drugs.—Simaruba (Ailanthus glandulosa) sometimes succeeds where other measures have failed. It is a drug which, though nowadays neglected in Europe, is still much used in the East by so-called "dysentery doctors." Possibly it is specific, just as ipecacuanha is, as regards a particular germ type of dysentery as yet unidentified. It seems to be specially serviceable when the case has become subacute or chronic. To be effective, it requires to be given in much larger doses than directed in the Pharma-copœias. One method of preparation I have seen employed is as follows: Using an earthenware pot, boil ½ oz. of simaruba in 1½ pints of water for three hours, and then strain it. Let the patient remain in bed and drink this decoction on an empty stomach every second morning for four times. Food must consist of milk and farinaceous stuffs. Another method is to boil 1 oz. of simaruba in 12 oz. of water until it is reduced to 7 drachms; to this 1 drachm of spirit is added. This preparation, also, must be made in either an earthenware or an enamelled dish. For an adult this is a suitable dose; a child may take a fourth part. It should be taken every night for four nights.*[10] Kho-sam (the seeds of Brucea sumatrana) is another drug with some reputation as an anti-dysenteric, probably in the amœbic form of the disease.
Monsonia ovata. Maberly reports favourably on this South African plant in dysentery. He uses a tincture of 2½ oz. of the dried plant to the pint of rectified spirit. It gave in his hands wonderful results, both in acute and in chronic cases which had resisted the ordinary remedies.
Cinnamon, pomegranate, mangosteen rind, and other aromatics and astringents sometimes do good in chronic dysentery.
I can offer no explanation of the action of any of these drugs in dysentery. We use them quite empirically.
Intestinal antiseptics.— Salol (10 to 15 gr.), izal, and cyllin in keratin capsules in doses of 60 to 90 minims of pure cyllin per diem, are sometimes followed by good results, especially in the bacillary form of dysentery, if combined with the aperient sulphates.
Antiserum*[11] — In bacillary dysentery the intravenous or subcutaneous injection of massive doses (20 to 40 c,c.) of antidysenteric sera has been followed by good results, especially in fulminating cases when collapse, due to absorption of the toxins of the bacillus, has occurred.
A polyvalent serum— that is the serum of a horse immunized against various strains of Bacillus dysenteriœ— has given the best results. Such sera are Vaillard and Dopter's, Shiga's, and that of the Lister Institute. The Lister Institute's serum is prepared by injecting a combination of Shiga's, Kruse's and Flexner's original strains, bacilli from El Tor, from asylum dysentery and from infantile diarrhœa. As much as 320 c.c. of this antiserum has been given intravenously within twenty-four hours in desperate cases. In children under 10 years of age 10 c.c. or less is a sufficient dose. The injection is made with a Roux syringe into a large vein, and is not followed by any untoward results. Serum treatment should be combined with the general treatment, including intestinal antiseptics and aperient salines. The combination of these three modes of treatment appears to be a rational one. Willmore and Savage report excellent results from El Tor from this line of treatment, and Bahr in Fiji by similar methods reduced the mortality to under 2 per cent, as compared with 13'2 per cent, of a parallel series of cases treated by aperient sulphates alone.
Roux recommends the injection of antiserum as a prophylactic in bacillary dysentery.
In urgent cases in -which collapse symptoms are manifest, and where there is no time for a differential diagnosis, it is advisable to combine the emetine and antiserum treatment.
In cases of extreme exhaustion, occasioned by loss of fluid and straining at stool, continuous transfusion with normal saline, in addition to other methods of treatment, is advisable.
Relief of pain.— During the early stages of an attack the patient may suffer much from griping and tenesmus. These are generally relieved by hot fomentations, turpentine stupes, or by a hot bath. An excellent application is the Japanese hot-box or hand-warmer a small tin box containing a slowly burning cartridge of powdered charcoal. These hot-boxes, or an imitation under the name of istra, can now be procured in England. Three or four of them may be roughly sewn into a piece of flannel and laid on the abdomen. This application has the advantage of being very light, of not wetting the clothes, and of keeping warm for many hours. Tenesmus and dysuria are best relieved by morphia hypodermically; or by an enema of a wineglassful of thin starch containing 40 or 50 drops of laudanum; or by suppositories of morphia and cocaine. Washing out the rectum with a pint of very hot water, with or without boric acid, is sometimes effectual in removing for a time, or, at all Events, of mitigating, the incessant desire to go to stool and to strain. Two drachms of bismuth with laudanum 30 minims and thin starch 2 oz. is also a good sedative enema.
Treatment should be energetic and thorough at the outset of dysentery. Every effort must be made to prevent it from becoming chronic, as in this stage the disease is very difficult to treat successfully, and is prone to issue in permanent invalidism.
Treatment of chronic dysentery.— Formerly, as a matter of routine, my personal experience led me to recommend in all cases of chronic amœbic dysentery a preliminary course of ipecacuanha— 30, 25, 20, 15, 10, and 5 gr. on successive evenings— with, of course, rest, and a milk and barley-water diet. There-after I generally prescribed a minute dose of castor oil, with or without opium, three times a day, regulating the dose according to effects. I might also prescribe a mixture of simaruba and cinnamon, or some intestinal antiseptic, as salol or β-naphthol. Sometimes I continued the ipecacuanha in 5-gr. doses for a month or longer, regarding it as a specific which should be persisted with as we would when giving quinine, iodide of potassium, or mercury. In view of its many manifest advantages, emetine intramuscularly, where available, should now be substituted in most cases for the crude ipecacuanha. Better than either is the recently introduced emetine bismuth iodide preparation. This should be given in freshly prepared pill form or in powder in a nightly dose of 3 gr. and kept up for ten days or a fortnight. Like most preparations of ipecacuanha, after a few doses it is apt to induce diarrhœa. It is said to be the most efficient drug in getting rid of encysted amœbæ and, therefore, in effecting a radical cure and in obviating the risk of spreading infection. Several courses of the drug may have to be prescribed before complete sterilization is effected.
These measures failing, recourse may be had to some of the following:
Nitrate-of-silver injections.— The most effective treatment of certain types of chronic dysentery is undoubtedly that by injections of large quantities of nitrate-of-silver solution of a strength of ½ to 1 gr. to the ounce of distilled water. There is a right and there is a wrong way of using this splendid remedy. If employed in the wrong way, it is useless —perhaps worse than useless. It must never be applied when acute symptoms are present. These must first be got rid of by ipecacuanha, by emetine, by the sulphates, by calomel, by castor oil, and by rest and diet. The patient should be prepared for a week at least in this way. Then the bowel is to be cleared by a small dose of castor oil, followed by a large enema of 3 or 4 pints of warm water to which 2 or 3 teaspoonfuls of carbonate of soda have been added. The whole of this injection having escaped, and when the bowel is quite empty, 2 to 3 pints of the nitrate-of-silver solution are thrown in by means of a- long tube passed slowly and carefully into the bowel as far as it will go without kinking. It is better to fill the bowel by gravitation, using a funnel and tube, rather than by a syringe. If it seems to be doing good, this injection may be used every few days and kept up for some time. Improvement in suitable cases generally sets in at once. The nitrate, or any other form of enema, must not be persevered with if it causes marked irritation or increase of symptoms.
In the mild chronic dysenteries which are seen in Great Britain, and which originally had been contracted in the tropics, and also in the more acute relapses of tropical dysenteries, ipecacuanha or emetine should always be tried in the way recommended.
Bayma reports favourably on the treatment of amœbic dysentery (both acute and chronic) and also of liver abscess by adrenalin— 20 to 30 drops of the Parke-Davis solution, 1 in 1,000, every six hours. He sometimes combines this with emetine treatment.
Other methods of treating chronic dysentery which succeed at times are the systematic washing out of the bowel daily with warm boric water, with linseed infusion, with milk (a very valuable remedy), with mangosteen rind decoctions, with weak solutions of alum, sulphate of copper, or tannin, with hypochloride-of-soda solution 1 per cent., with creosote and water or milk— a teaspoonful to the quart; systematic daily dosing with small quantities of castor oil, with or without opium— 1 to 2 drachms of castor oil with 4 to 10 drops of laudanum three times a day; 10 to 20 drops of turpentine three times a day; small doses of hydrarg. c. cretâ; the daily consumption of some preparation of fresh bael fruit; a course of Carlsbad, of Kissingen, or of Vichy water; rectal douching as practised at Plombières; a diet of grapes only, of milk only, or of beef only; cold-water compresses to the abdomen.
Surgical treatment of chronic dysentery.— When less heroic methods fail and the patient's condition is slowly but progressively deteriorating, right inguinal colotomy or appendicostomy should be offered as affording a reasonable chance. Some time ago I had a colotomy performed in such circumstances with excellent results. If so serious an operation is declined, appendicostomy might be urged. This is easily performed and is not so risky or trouble-some as colotomy. A small oblique opening is made through the abdominal wall at the spot usually selected for appendicectomy. The opening should be large enough to admit two fingers, and the appendix is hooked out; this is easy if no adhesions are present. The appendix is drawn through the wound until its base is in contact with the parietal peritoneum, and it is then fixed in this position by a stitch of fine silk or catgut passing through the meso-appendix and the adjacent cut edge of the peritoneum. The appendix is opened immediately or in a few days' time. The cæcum and colon may now be washed out with normal saline, with or without boric acid or other bland antiseptic, or with an astringent solution, through the appendix as frequently as desired. For this purpose a No. 8 rubber catheter with a copper stilette is employed, and a rectal tube with an outflow tube. The patient should lie on his back; should the cæcum get distended and the fluid fail to pass freely, turning him slightly to the left will restore the flow.
Post-dysenteric constipation.— After the subsidence of a dysentery, constipation and balling of the stools is by no means an uncommon event. This complication is best prevented, or met, by enemata of warm water to which a little salt— a teaspoonful to the pint— has been added, or, if the bowel is very irritable, of linseed tea or of thin rice-water. An occasional dose of castor oil, half to one teaspoonful, once or twice a week or of tener, and kept up so long as the motions are not quite healthy, is an excellent routine practice; its action may be supplemented by a glycerin suppository. A course of Carlsbad waters or Carlsbad salts often gives excellent results.
Food and clothing.— In chronic dysentery much attention should be given to clothing and food. The former should be very warm. Dysenteries ought never to feel cold. Cold bathing is very dangerous for them; so are alcoholic drinks of all sorts. Food should be simple in the extreme. Beef, mutton cheese, bread, coarse fruit or coarse vegetables, nuts, pickles, and such-like are, as a rule, not well borne. Fruit and fine well-cooked vegetables in moderation are necessary and often beneficial. In obstinate chronic dysentery it is often a good thing to change the diet from slops to solids, from a meagre to a more liberal one. The quantity of food is as important as the quality. Chronic dysenteries should eat no more than suffices to maintain their weight. Large meals must be avoided, and food should not be taken unless there is appetite. Monotony of food should be guarded against. Wonderful results are sometimes got from a sea- voyage.
Hepatitis.—During the whole course of an attack of dysentery, and for months thereafter, the condition of the liver must receive the most careful attention. We may not be able to prevent abscess of this organ; but if pain and swelling seem to suggest it as threatening we can try by means of full and repeated doses of ipecacuanha, emetine, saline aperients, rest, low diet, fomentations, dry cupping, and similar measures to avert what, to say the least, is a very grave complication.
Prophylaxis.—The prophylaxis of dysentery consists principally in securing a pure water supply; in avoiding unwholesome or contaminated food; in searching out and eliminating and sterilizing dysentery carriers, especially those in whose stools encysted amoebae occur; in temperance; in clothing warmly and avoiding chill; in correcting constipation and stopping diarrhœa; and, in public institutions such as gaols and asylums, in regarding dysentery as an infectious and readily communicable disease, in strictly isolating patients suffering from symptoms of colitis, or even looseness of the bowels, and in careful sanitation, directed towards the disposition of fæcal matter and the suppression of house-flies.
- ↑ * The agglutination reaction of the dysentery bacillus cannot be regarded as specific, in the same sense as Widal's reaction in typhoid. The lack of motility of the bacillus, its tendency to clump in broth cultures and also to agglutinate in low dilutions with normal sera, partially account for this. Two types of agglutination occur— (1) in chains, the bacilli lying end to end; (2) in clumps.
- ↑ * Although, according to the rules of zoological nomenclature, the specific title of histolytica still holds, some authorities have adopted that of tetragena as being more descriptive of its life-cycle as at present understood, and as less calculated to cause confusion.
- ↑ Hartmann and Darling have pointed out that Schaudinn's description of reproduction by a process of budding was the result of observing degenerating forms of the amœba.
- ↑ *Gasser, in material supplied by 153 cases of dysentery—principally soldiers from Oran— although he found Amœba coliin 45 out of 109 acute cases, observed no relationship whatever between the number of amœbæ present in the stools and the severity of the disease. In 34 chronic cases he found the amœba in 13; and in 8 cases of chronic diarrhœa supervening on dysentery he found it in 5. In the stools of 20 healthy individuals from Oran he found the amœba in 4. He further states that he failed to find, or to recognize, the amœba in stained sections of dysenteric bowel. He concludes, therefore, against the amœba having anything more than an accidental relationship to the disease; and that, in place of the amœba causing the dysentery, it is, if anything, the dysentery which causes or, rather, favours the amœba; in other words, that the amœba finds in dysenteric discharges a favourable medium for multiplying in.
Celli and Fiocca studied the parasitology of dysentery in material from 62 typical cases— some from Italy, some from Egypt. They, too, conclude that Amœba coli is not a direct cause of dysentery, and for the following reasons: (a) Epidemic, endemic, and sporadic dysentery may occur without amœbæ in the stools, (b) Dysentery may be induced by the ingestion, or by the injection into the bowel, of dysenteric fæces which have been ascertained by microscopical examination to be quite free from amœbæ, (c) Amœbæ are very common in countries in which dysentery occurs, hence their frequency in the stools of dysenteries in these countries; they are there accidentally. They further point out that A. coli is not the only amœba to be found in the intestine; A. guttula, diaphana, Vermicularis, oblonga, and rectularis, besides proteus, have all been found there. A. coli has attracted attention, they consider, principally on account of its movements and size; whereas the other amœbæ,
- ↑ * More recently confirmation of these experiments has been adduced by Walker and Sellards (Phil. Journ. Sci., Aug., 1913). These investigators induced amœbic dysentery in 4 out of 20 persons by administering vegetative amœbæ from dysenteric stools enclosed in gelatin capsules. In the remaining 16 who did not exhibit dysenteric symptoms, cysts containing four nuclei (tetragena cysts) were subsequently found in the stools. Similar experiments with a parallel series of men fed with cultures of several species of free-living amœbæ and also with Entamœba coli produced no symptoms whatever, though cysts typical of these species were, after a short incubation period, found in their stools.
- ↑ * Kruse and Pasquale were able to produce dysentery in cats by means of rectal injection of liver pus containing amœbæ. Harris produced similar results in dogs by the same means, and Gauducheau by introducing liver pus intravenously.
- ↑ * For a detailed and very lucid description of these and other protozoal intestinal parasites, the reader is recommended to consult an illustrated paper by Wenyon in the Lancet of November 27th, 1915.
- ↑ * The composition of the Conradi-Drygalski medium is as follows: Water, 750 c.c.; lemco, 10 grm.; nutrose, 7 grm.; salt, 3 grm.; peptone, 7 grm.; agar, 20 grm.; litmus solution, 50 c.c.; lactose, 5½ grm.; normal caustic soda (10 per cent.), ¾ c.c.; crystal violet (0.1 -per- cent, solution), 4 c.c.
- ↑ † Neutral-red-agar: Agar, 20 grm.; peptone, 20 grm.; lactose, 10 grm.; sodium taurocholate, 5 grm.; water, 1,000 c.c., containing 4 c.c. 1-per-cent. watery solution neutral red.
- ↑ * Appended is the formula of a preparation of simaruba much used in Shanghai, and there known as "Rhein's Specific Remedy for Diarrhœa and Dysentery." I understand that the formula was purchased by the Shanghai municipality for a considerable sum of money, so highly was it thought of by the European community of that city. Simaruba bark, 3 oz.; Chinese cinnamon, 1 oz.; boil in 3 quarts of water and allow it to evaporate down to 1 pint. When cool, strain into a brandy- bottle, add 3 tablespoonfuls of good brandy, and fill up by pouring cold water over the bark in the strainer till the bottle is full. Dose: A wineglassful three times a day.
- ↑ * The antiserum is put up m phials of 20 c.c. each, which is the usual dose for an adult.