Page:Popular Science Monthly Volume 71.djvu/367
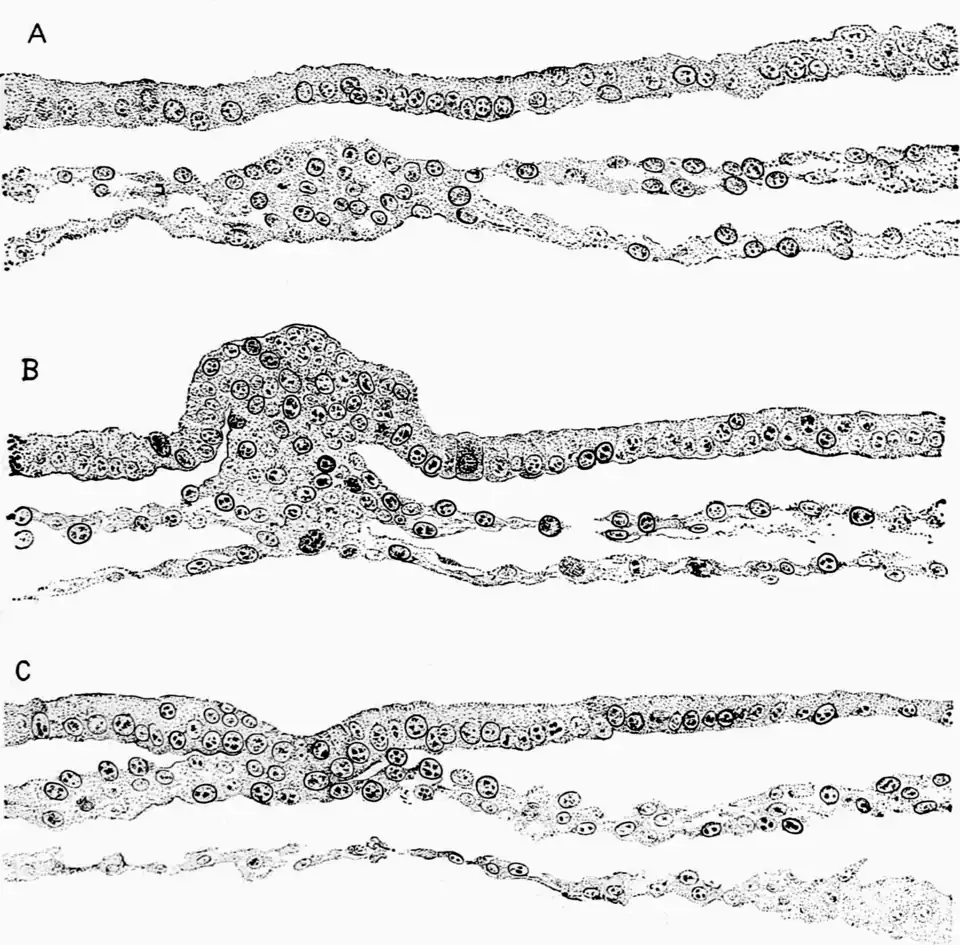
the living cell itself, and that alteration I interpret, as I shall explain more accurately later, as the cause of senescence, as the fundamental cause of old age. This slide also shows to us the early development of the cells through those phases which result in the multiplication of them. The nucleus changes in appearance and becomes a very different-looking structure. These changes I need not now go through again. Suffice it to say that after the complicated alterations have completed their cycle, we get in the place of a single cell, two, and

each has its own nucleus, and each its own protoplasm. Notice here that the two cells which finally result are smaller than the original cells from which they sprang. These are by no means imaginary pictures, but accurate microscopic drawings from real cells of the salamander skin. The two cells which are thus produced from one parent cell are characterized by their smaller size, and this smaller size applies not only to the cell as a whole, but likewise to its nucleus. After having been thus reduced in size, the nuclei and the cells will both expand, and soon the daughter cells will return to the mother dimension and be as large as the parent cell from the division of which