Renal medullary carcinoma
| Renal medullary carcinoma | |
|---|---|
![]() | |
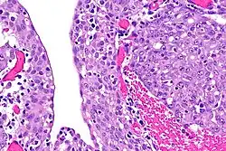
| Renal medullary carcinoma (right of image), reactive urothelium and sickled red blood cells. H&E stain. | |
| Specialty | Oncology / urology |
| Symptoms | hematuria, abdominal mass, abdominal pain, weight loss |
| Usual onset | young adults typically |
| Risk factors | sickle cell trait, sickle cell disease |
| Diagnostic method | histology and immunohistochemistry (SMARCB1 loss) |
| Differential diagnosis | other forms of kidney cancer |
| Prognosis | poor |
| Frequency | rare |
Renal medullary carcinoma is a rare type of cancer that affects the kidney. It tends to be aggressive, difficult to treat, and is often metastatic at the time of diagnosis. Most individuals with this type of cancer have sickle cell trait or rarely sickle cell disease, suggesting that the sickle cell trait may be a risk factor for this type of cancer.
Signs and symptoms
In a case series of 34 patients, Davis and colleagues reported the following signs and symptoms:
- macroscopically visible (gross) hematuria (60%)
- abdominal or back/flank pain (50%)
- significant weight loss (25%)
Other researchers have reported a palpable renal mass[1] or enlarged lymph nodes.[2]
Causes
The etiology of renal medullary carcinoma is still not completely understood. However, the majority of individuals diagnosed with this type of cancer have had sickle cell trait, in which the person carries one normal copy of the hemoglobin A gene (HbA) and one copy of the hemoglobin A gene harboring the genetic mutation found in sickle cell disease (HbS). These individuals do not have sickle cell disease but can manifest symptoms such as kidney damage over the course of their lives.[3][4]
Mechanism
The finding that virtually all people affected by renal medullary carcinoma carry at least one copy of the HbS mutation suggests that sickle cell trait somehow predisposes to this type of cancer.[5] The precise mechanism is unknown, but red blood cells with a sickle cell configuration have been identified in pathology specimens.[2]
Diagnosis
The diagnosis of renal medullary carcinoma is typically made after individuals with sickle cell trait present with the typical signs and symptoms outlined above, in combination with radiographic imaging (usually abdominal/pelvic CT scan) studies and ultimately surgical biopsy and pathological examination of the tumor. Findings on radiographic examination are non-specific and can reveal a mass deep within the kidney.[6] Histopathology studies show a distinctive pattern that can be distinguished from other renal tumors.[1]
Classification
Renal medullary carcinoma has been termed "the seventh sickle cell nephropathy" because it is found almost exclusively in individuals with sickle cell trait or occasionally in those with sickle cell disease.[5]
Prevention
Renal medullary carcinoma is extremely rare and it is not currently possible to predict those individuals with sickle cell trait who will eventually develop this cancer. It is hoped that early detection could result in better outcomes but screening is not currently feasible. With genomics and science advancing, we can possibly find these mutated genes with proactive genetic screening so that future generations don’t differ but science can interfere with its natural course to a more directed course, avoiding such mutations from manifesting and cause death in later generations.
Management
This cancer is typically aggressive, presents at an advanced stage when the cancer has already metastasized, and is resistant to chemotherapy. It therefore poses a significant management challenge.[7] Current treatment options include surgical resection and chemotherapy with a variety of agents, including (but not limited to) ifosfamide, etoposide, carboplatin, and topotecan.[8] A recent study looked at the use of methotrexate, vinblastine, doxorubicin, and cisplatin in 3 patients and saw a partial response and longer survival than historical reports.[9] Carboplatin, gemcitibine, and paclitaxel provided a complete response in a patient with advanced disease.[10] The role of radiation is unclear; some tumors have shown a response to radiation. Due to the apparent propensity for the tumor to spread to the central nervous system, it has been suggested that prophylactic craniospinal irradiation should be considered.[11]
Prognosis
Since the cancer most often presents at an advanced stage, prognosis is generally very poor, with median survival times of 3 months (range 1–7 months).[7] Longer survival of beyond one year was reported in one patient[8] and of up to eight years in one individual whose tumor was well circumscribed and non-metastatic at the time of diagnosis,[12] suggesting that early detection could dramatically improve survival.
Epidemiology
As of 2009, there have been approximately 120 reported cases of renal medullary carcinoma.[13] In every instance except for one, the patients were positive for cell sickling. Wilms' tumor, the most common renal tumor of childhood, is responsible for 6-7% of childhood cancer whereas all remaining primary renal tumors (among which is included renal medullary carcinoma) collectively account for less than 1% of all childhood cancer and less than 10% of primary kidney tumors in childhood.[14]
History
Renal medullary carcinoma was first described as a clinicopathologic entity in 1995.[5]
References
- ^ a b Assad, Lina; Resetkova, Erika; Oliveira, Victor L.; Sun, Wei; Stewart, John M.; Katz, Ruth L.; Caraway, Nancy P. (2004). "Cytologic features of renal medullary carcinoma". Cancer. 105 (1): 28–34. doi:10.1002/cncr.20764. PMID 15593260.
- ^ a b Warren, K. E.; Gidvani-Diaz, V.; Duval-Arnould, B. (1999). "Renal Medullary Carcinoma in an Adolescent with Sickle Cell Trait". Pediatrics. 103 (2): E22. doi:10.1542/peds.103.2.e22. PMID 9925868.
- ^ Holland, P.; Merrimen, J.; Pringle, C.; Wood, L.A. (February 2020). "Renal medullary carcinoma and its association with sickle cell trait: a case report and literature review". Current Oncology. 27 (1): e53 – e56. doi:10.3747/co.27.5043. ISSN 1198-0052. PMC 7096200. PMID 32218668.
- ^ CDC (2024-05-22). "What Is Sickle Cell Trait?". Sickle Cell Disease (SCD). Retrieved 2024-09-06.
- ^ a b c Davis, Charles J.; Mostofi, F. K.; Sesterhenn, Isabell A. (1995). "Renal Medullary Carcinoma the Seventh Sickle Cell Nephropathy". The American Journal of Surgical Pathology. 19 (1): 1–11. doi:10.1097/00000478-199501000-00001. PMID 7528470. S2CID 23101326.
- ^ Baig, M. A.; Lin, Y. S.; Rasheed, J; Mittman, N (2006). "Renal medullary carcinoma". Journal of the National Medical Association. 98 (7): 1171–4. PMC 2569460. PMID 16895289.
- ^ a b Avery, Robert A.; Harris, Jules E.; Davis, Charles J.; Borgaonkar, Digamber S.; Byrd, John C.; Weiss, Raymond B. (1996). "Renal medullary carcinoma: Clinical and therapeutic aspects of a newly described tumor". Cancer. 78 (1): 128–32. doi:10.1002/(SICI)1097-0142(19960701)78:1<128::AID-CNCR18>3.0.CO;2-1. PMID 8646708.
- ^ a b Heuermann, K. G.; Romero, J. R.; Abromowitch, M. A.; Gordon, B. G.; Gross, T. G. (1999). "Fatal Coagulase-Negative Staphylococci Infection After Bone Marrow Transplantation in a Patient with Persistent Adverse Reactions to Vancomycin". Journal of Pediatric Hematology/Oncology. 21 (1): 80–1. doi:10.1097/00043426-199901000-00019. PMID 10029821.
- ^ Rathmell, W. Kimryn; Monk, J. Paul (2008). "High-Dose-Intensity MVAC for Advanced Renal Medullary Carcinoma: Report of Three Cases and Literature Review". Urology. 72 (3): 659–63. doi:10.1016/j.urology.2008.05.009. PMID 18649931.
- ^ Walsh, Alexandra; Kelly, David R.; Vaid, Yoginder N.; Hilliard, Lee M.; Friedman, Gregory K. (2010). "Complete response to carboplatin, gemcitabine, and paclitaxel in a patient with advanced metastatic renal medullary carcinoma". Pediatric Blood & Cancer. 55 (6): 1217–20. doi:10.1002/pbc.22611. PMID 20979179. S2CID 40167767.
- ^ Walsh, Alexandra M.; Fiveash, John B.; Reddy, Alyssa T.; Friedman (2011). "Response to Radiation in Renal Medullary Carcinoma: A Case Report and Review of the Literature". Rare Tumors. 3 (3): 1156–61. doi:10.4081/rt.2011.e32. PMC 3208419. PMID 22066039.
- ^ Watanabe, Isabela C; Billis, Athanase; Guimarães, Marbele S; Alvarenga, Marcelo; De Matos, Amilcar C; Cardinalli, Izilda A; Filippi, Renee Z; De Castro, Marilia G; Suzigan, Sueli (2007). "Renal medullary carcinoma: Report of seven cases from Brazil". Modern Pathology. 20 (9): 914–20. doi:10.1038/modpathol.3800934. PMID 17643096.
- ^ Tsaras, Geoffrey; Owusu-Ansah, Amma; Boateng, Freda Owusua; Amoateng-Adjepong, Yaw (2009). "Complications Associated with Sickle Cell Trait: A Brief Narrative Review". The American Journal of Medicine. 122 (6): 507–12. doi:10.1016/j.amjmed.2008.12.020. PMID 19393983.
- ^ Broecker, Bruce (2000). "Non–Wilms' Renal Tumors in Children". Urologic Clinics of North America. 27 (3): 463–9, ix. doi:10.1016/S0094-0143(05)70094-X. PMID 10985146.
