Intraarticular fracture
| Intraarticular fracture | |
|---|---|
![]() | |
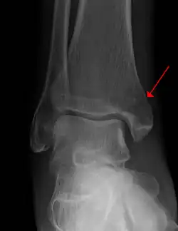
| Example of an intraarticular fracture of the medial malleolus extending in the talocrural ankle joint | |
| Specialty | Orthopedics |
An intraarticular fracture is a bone fracture in which the break crosses into the surface of a joint. This always results in damage to the cartilage.[1] Compared to extraarticular fractures, intraarticular have a higher risk for developing long-term complications, such as posttraumatic osteoarthritis.[2]
See also
References
- ^ "Intraarticular Fracture Discussion".
- ^ McKinley, Todd O.; Borrelli, Joseph; D’Lima, Darryl D.; Furman, Bridgette D.; Giannoudis, Peter V. (2017-03-25). "Basic Science of Intraarticular Fractures and Posttraumatic Osteoarthritis". Journal of Orthopaedic Trauma. 24 (9): 567–570. doi:10.1097/BOT.0b013e3181ed298d. ISSN 0890-5339. PMC 3662545. PMID 20736796.
Further reading
- Epstein, Noah; Chandran, Sheena; Chou, Loretta (2012). "Current Concepts Review: Intra-Articular Fractures of the Calcaneus". Foot & Ankle International. 33 (1): 79–86. doi:10.3113/FAI.2012.0079. ISSN 1071-1007.
- McKinley, Todd O; Borrelli, Joseph; D'Lima, Darryl D; Furman, Bridgette D; Giannoudis, Peter V (2010). "Basic Science of Intra-articular Fractures and Posttraumatic Osteoarthritis". Journal of Orthopaedic Trauma. 24 (9). Ovid Technologies (Wolters Kluwer Health): 567–570. doi:10.1097/bot.0b013e3181ed298d. ISSN 0890-5339. PMC 3662545.
