Uremic pericarditis
| Uremic pericarditis | |
|---|---|
![]() | |
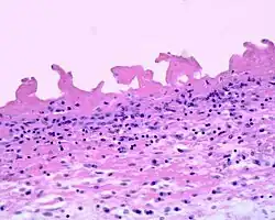
| Pericarditis fibrinosa | |
| Specialty | Urology |
Uremic pericarditis is a form of pericarditis. It causes fibrinous pericarditis.[1] The main cause of the disease is poorly understood.[2]
Signs and symptoms
Fibrinous pericarditis is an exudative inflammation. The pericardium is infiltrated by the fibrinous exudate. This consists of fibrin strands and leukocytes. Fibrin describes an amorphous, eosinophilic (pink) network. Leukocytes (white blood cells; mainly neutrophils) are found within the fibrin deposits and intrapericardic. Vascular congestion is also present. Inflammatory cells do not penetrate the myocardium (as is seen with other presentations of pericarditis), and as a result, this particular variant does not present with diffuse ST elevation on ECG (a classic sign of pericarditis known as stage I ECG changes which are seen with other causes)[1] because the inflammatory cells do not penetrate the myocardium. To naked eye examination, this pathology is referred to as having a "Bread and Butter Appearance".
Pathology
Uremic pericarditis is associated with azotemia, and occurs in about 6-10% of kidney failure patients. BUN is normally >60 mg/dL (normal is 7–20 mg/dL). However, the degree of pericarditis does not correlate with the degree of serum BUN or creatinine elevation. The pathogenesis is poorly understood.[2]
Treatment
Uremic pericarditis is effectively treated with hemodialysis and can resolve the symptoms and decrease the size of any pericardial effusion, if present.[3]
References
- ^ a b "CIN'2003. Agarwal: UREMIC PERICARDITIS". Retrieved 2009-03-14.
- ^ a b Black, R. 2011. 0. <http://www.uptodate.com/contents/pericarditis-in-renal-failure Archived 2014-12-20 at the Wayback Machine>.
- ^ Gunukula, SR; Spodick, DH (January 2001). "Pericardial disease in renal patients". Seminars in Nephrology. 21 (1): 52–6. doi:10.1053/snep.2001.18378. PMID 11172559.
