Episternal ossicles

Episternal ossicles (or suprasternal ossicles) are small bones that are sometimes present at the upper end of the chest bone. The prevalence of these ossicles is around 1.5%.[1]
Structure
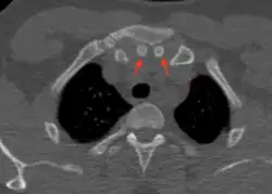
The episternal ossicles are oval-shaped bones that are occasionally found at the superior and posterior border of the manubrium. The episternal ossicles were first described by Cobb in 1937.[2] They may be present unilaterally or bilaterally.[3] Its size ranges from 2–15 mm depending on individuals.[4] These ossicles are asymptomatic and does not cause any harm, although it may be diagnosed as fracture, vascular ossification or calcified lymph nodes.
See also
References
- ^ Stark, P; Watkins, G E; Hildebrandt-Stark, H E; Dunbar, R D (1987). "Episternal ossicles". Radiology. 165 (1): 143–144. doi:10.1148/radiology.165.1.3628759. ISSN 0033-8419. PMID 3628759.
- ^ Cobb, M. Montague (1937). "The Ossa Suprasternalia in Whites and American Negroes and the Form of the Superior Border of the Manubrium Sterni". Journal of Anatomy. 71 (Pt 2): 245–291. PMC 1252344. PMID 17104639.
- ^ Yurasakpong, Laphatrada; Asuvapongpatana, Somluk; Weerachatyanukul, Wattana; Meemon, Krai; Jongkamonwiwat, Nopporn; Kruepunga, Nutmethee; Chaiyamoon, Arada; Sudsang, Thanwa; Iwanaga, Joe; Tubbs, R. Shane; Suwannakhan, Athikhun (2022). "Anatomical variants identified on chest computed tomography of 1000+ COVID-19 patients from an open-access dataset". Clinical Anatomy. 35 (6): 723–731. doi:10.1002/ca.23873. ISSN 1098-2353. PMC 9083245. PMID 35385153.
- ^ Cuete, David. "Episternal ossicles | Radiology Reference Article | Radiopaedia.org". Radiopaedia. Retrieved 2023-03-11.