Desmoplastic melanoma
| Desmoplastic melanoma | |
|---|---|
| Other names | Neurotropic melanoma, or Spindled melanoma[1] |
![]() | |
| Desmoplastic melanoma | |
| Specialty | Dermatology |
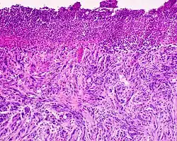
Desmoplastic melanoma, also known as neurotropic melanoma, or spindled melanoma[1] is a rare cutaneous condition characterized by a deeply infiltrating type of melanoma[2]: 696 with an abundance of fibrous matrix. It usually occurs in the head and neck region of older people with sun-damaged skin. Diagnosis can be difficult as it has a similar appearance to sclerosing melanocytic nevi as well as some nonmelanocytic skin lesions such as scars, fibromas, or cysts. Desmoplastic melanomas tend to recur locally, with distant metastasis being less common.[3]
See also
References
- ^ a b Rapini, Ronald P.; Bolognia, Jean L.; Jorizzo, Joseph L. (2007). Dermatology: 2-Volume Set. St. Louis: Mosby. ISBN 978-1-4160-2999-1.
- ^ James, William D.; Berger, Timothy G.; et al. (2006). Andrews' Diseases of the Skin: clinical Dermatology. Saunders Elsevier. ISBN 978-0-7216-2921-6.
- ^ Busam, Klaus J. (2011). "Desmoplastic Melanoma". Clinics in Laboratory Medicine. 31 (2): 321–30. doi:10.1016/j.cll.2011.03.009. PMID 21549245.
External links
