Dermal cylindroma
| Dermal cylindroma | |
|---|---|
![]() | |
| Dermal cylindroma treated with X-rays without recurrence |
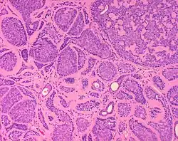
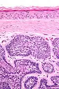
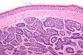
In dermatologic pathology, a dermal cylindroma, also dermal eccrine cylindroma or cutaneous cylindroma[1]: 666 ) and (less specifically) cylindroma, is a benign adnexal tumor[2] that occurs on the scalp and forehead.
Multiple cylindromas may grow together in a "hat-like" configuration, sometimes referred to as a turban tumor.[3] Cylindromas are uncommon dysplasias of skin appendages.[4]
Histology

Dermal cylindromas are:
- Dermal lesions consisting of nests of cells that are surrounded by hyaline (i.e., glassy, eosinophilic, acellular) material and have:
- Hyperchromatic nuclei that may palisade (columnar nuclei arranged around the periphery of the cell nests with their short axis tangential to the nest periphery), and
- Cells with lighter staining ovoid nuclei at their centre.
They lack of a significant number of lymphocytes; this differentiates them from spiradenomas.
Additional images
-
Micrograph of a dermal cylindroma in H&E stain. -
Micrograph of dermal cylindroma in H&E stain. -
Dermal cylindroma. Puzzle-like distribution of tumour foci.
-
Dermal cylindroma. Hyaline droplets visible in lobules.
-
Dermal cylindroma, micronodular type.
See also
References
- ^ James, William D.; Berger, Timothy G.; et al. (2006). Andrews' Diseases of the Skin: clinical Dermatology. Saunders Elsevier. ISBN 0-7216-2921-0.
- ^ "Cylindroma" at Dorland's Medical Dictionary
- ^ "Cylindroma: Background, Pathophysiology, Epidemiology". 14 July 2021.
- ^ Cylindroma at eMedicine
