C6orf118
| C6orf118 | |||||||||||||||||||||||||||||||||||||||||||||||||||
|---|---|---|---|---|---|---|---|---|---|---|---|---|---|---|---|---|---|---|---|---|---|---|---|---|---|---|---|---|---|---|---|---|---|---|---|---|---|---|---|---|---|---|---|---|---|---|---|---|---|---|---|
| Identifiers | |||||||||||||||||||||||||||||||||||||||||||||||||||
| Aliases | C6orf118, bA85G2.1, dJ416F21.2, chromosome 6 open reading frame 118 | ||||||||||||||||||||||||||||||||||||||||||||||||||
| External IDs | MGI: 1914181; HomoloGene: 49841; GeneCards: C6orf118; OMA:C6orf118 - orthologs | ||||||||||||||||||||||||||||||||||||||||||||||||||
| |||||||||||||||||||||||||||||||||||||||||||||||||||
| |||||||||||||||||||||||||||||||||||||||||||||||||||
| |||||||||||||||||||||||||||||||||||||||||||||||||||
| |||||||||||||||||||||||||||||||||||||||||||||||||||
| Wikidata | |||||||||||||||||||||||||||||||||||||||||||||||||||
| |||||||||||||||||||||||||||||||||||||||||||||||||||
C6orf118 (Chromosome 6, Open Reading Frame 118) is a protein in humans (Homo sapiens), which is encoded by the C6orf118 gene. The protein domain, translin-associated factor X-interacting N-terminus (TRAX), is involved in RNA binding and RNA nuclease activity and in the regulation of mitochondrial function and cellular homeostasis.[5][6][7] TRAX interacts with translin, a DNA-binding protein that binds to consensus sequences at breakpoint junctions of chromosomal translocation.[8] TRAX in general contains bipartite nuclear targeting sequences, which may provide nuclear transport for translin, as translin lacks any nuclear targeting motifs.[9] This protein is localized to the mitochondria.[10]
Earlier experiments involving mutant cells showed deletion of translin in mice (Mus musculus) leads to a complete loss of TRAX protein without affecting TRAX mRNA levels, indicating the stability of TRAX protein is dependent on the interaction with translin.[11]
Gene
Locus
C6orf118 is a gene located on the minus (-) strand at 6q27.[6] It is situated between a low-expressed, spliced, non-coding cheeserbu gene and the Phosphodiesterase 10A (PDE10A) gene.[12]


Common aliases
The gene has several aliases, including BA85G2.1, MGC23884, and DJ416F21.23.[6]
Number of exons
The gene contains 14 exons and spans approximately 29,942 base pairs.[6]
Span of gene
C6orf118 spans from 29,941 base pairs.[6]
Transcripts
Known isoforms
C6orf118 gene produces multiple alternatively spliced transcripts. The gene contains 14 distinct introns and produces 8 alternatively spliced mRNAs, with the longest mRNA length of 2082 nucleotides.[12][13] Isoform 1 displays higher than normal levels of positive charges KR, which are conserved in all orthologs. C6orf118 isoform 1 does not contain any transmembrane region.[14] Isoforms X5 and X6 do not contain exons 7 and 8, while isoform X2 does not contain exon 3. Coding sequence starts from exon 2 through 7.
| Isoform, transcript length, protein length, molecular weight | AC# | Ex1 | Ex2 | Ex3 | Ex4 | Ex5 | Ex6 | Ex7 | Ex8 | Ex9 |
| Isoform 1,1822nt,469aa,~53.8kDa | NM_144980 | x | x | x | x | x | x | x | x | |
| X1,2082nt,536aa,~60.8kDa | XM_011535509 | x | x | x | x | x | x | x | x | x |
| X2,2022nt,516aa,~58.4kDa | XM_011535510 | x | x | x | x | x | x | x | x | |
| X3,2026nt,504aa,~57.2kDa | XM_011535511 | x | x | x | x | x | x | x | x | |
| X4,1878nt,469aa,~57.2kDa | XM_005266838 | x | x | x | x | x | x | x | x | x |
| X5,1747nt,483aa,~54.5kDa | XM_017010323 | x | x | x | x | x | x | x | ||
| X6,1543nt,448aa,~50.9kDa | XM_047418256 | x | x | x | x | x | x | x | ||
| X7,1944nt,397aa,~45.3kDa | XM_011535512 | x | x | x | x | x | x | x | x | x |
Protein
Isoform 1
Isoform 1, the most common protein, is derived from transcript variant 1 and is 469 amino acids in length, with a molecular weight of ~53.8 kDa, and a pI of 8.61.[5][15] Isoform X5 and X7 do not contain the TSNAXIP1_N domain.[5]
Domains and motifs by homology
C6orf118 isoform 1 is predicted to contain 4 phosphorylation sites,[16] 2 acetylation sites,[17] 6 O-ß-GlcNAc attachment sites,[18] and 1 N-terminal acetylation.[19]
Secondary structure
C6orf118 isoform 1 is shown to be dominated primarily by 16 helical secondary structure, with no consistent prediction of beta sheet conformations from AlphaFold and iTasser.[20][21]

Tertitary structure
Prediction of tertitary structure tends to showcase three or four different alpha helices that wrap around itself.[22] Structural predictions of isoform X5 show that the alpha helices do not wrap themselves as other isoforms, which have exons 7 and 8.
Gene level regulation
Promoter
C6orf118 have 2 possible promoters that produce complete protein isoforms, with 22 nucleotides apart from each other.[5] The primary promoter are found in isoform 1, X4 and X6, while the secondary promoter are found in X1, X2, X3, X5, and X7.
Transcription factor binding sites
C6orf118 isoform 1 promoter contains 300 transcription factor binding sites, only TFAP2A is conserved among mammals.[23]

Expression pattern
C6orf118 expression is expressed ubiquitously at low to medium levels in most tissue types. Due to the low levels of expression, meaningful trends in localization are difficult to discern. However, some of the RNA sequence data indicate a high expression level in the brain and lung.[5] NCBI GEO profile across all tissues indicate that it is expressed medium to high levels in fetal brain, trachea, salivary gland, and testis.[24] The protein is less abundant than most human proteins.[25]
Transcript level regulation
mRNA localization
C6orf118 mRNA is localized in cytoplasm within various cell types, including ciliated, basal respiratory, club cells, and ionocytes.[10]
Predicted stem loops
5' UTR indicate that one stem loop upstream of the start of transcription is conserved in all Primates. Within the stem loop, EWSR1-FLI1 binding site is found.[26]
3' UTR contain 6 stem loops, although only one is conserved in all Primates.
miRNA targeting
56 different miRNAs are found within the 3' UTR in human's transcript 1.[27]
Protein level regulation
Subcellular localization

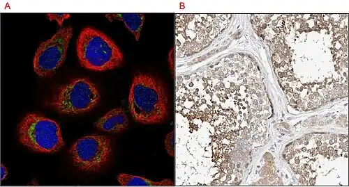
The lack of a transmembrane domain indicates that C6orf118 isoform 1 is not found within the cell membrane. Analysis of likely subcellular localization among orthologs indicates C6orf118 products are most likely found in the nucleus, cytosol, and mitochondria.[29][30] Both immunocytochemical and immunohistochemical imaging shows C6orf118 is localized in the cytoplasm but most likely where mitochondrions are located.[10][31]
Acetylation
One N-terminal acetylation was found to be conserved in mammals, birds, and reptiles.[32] This is probable due to the protein being extremely stable, localized, and having a low degradation level despite a low translation rate.[33]
Glycosylation
Multiple O-glycosylation sites were found, with conserved position at 32, 92, 192, 203, 345, and 373 in the human protein.[34]
Phosphorylation
C6orf118 is predicted to have 4 phosphorylation sites.[35] The presence of phosphorylation sites at 210, 211, and 327 are common among mammals, birds, and reptiles.
Homology
Paralogs
There are 2 known paralogs to this gene: forkhead box protein (FOX), and SH3 domain and tetratricopeptide repeat-containing protein 2 (SH3TC2). C6orf118 and FOX in humans have similarity and identity percents of 16% and 10.7%, respectively. C6orf118 and SH3TC2 have similarity and identity percents of 10.3% and 6.9%, respectively.[36]
Orthologs
C6orf118 in Homo sapiens is found in all life forms.[6] The table below shows orthologs 20 orthologs of C6orf118. C6orf118 first appeared in archaea and is found in organisms as distantly related to humans as the fungus Chytridiales, which diverged about 1275 million years ago with an average sequence identity of 21.1%. The table highlights 20 selected orthologs from various groups arranged by median date of divergence and then by sequence identity from the human lineage. The C6orf118 amino acid sequences of mammals are closely related to humans, with an average sequence similarity of 67.9%. The bird and reptile, amphibian, fish, and invertebrate are distantly related with the average sequence similarity of 33.7%, 40.9%, 36.2%, 31.5%, respectively. In general, the samples follow the pattern where the more recent evolutionary diversion results in more similar proteins. However, there are some exceptions, as seen in the inverted similarity between mouse and fishing cat, sun bittern, and whale shark.
Table of orthologs

Rate of evolution
C6orf118 is evolving moderately quickly compared to reference sequences Cytochrome C and Fibrinogen alpha. The figure below shows more detail about the evolutionary history of C6orf118, FOX, and SH3TC2. Protein FOX almost has a similar rate of sequence divergence compared to C6orf118, indicating the amino acid sequence changes are about the same and are moderately quickly. SH3TC2 is found in mammals, birds, reptiles, amphibians, and bony fish but is not found in invertebrates and fungi. NCBI results suggest that the gene C6orf118 duplicated to create SH3TC2 paralog between 429 and 462 million years ago.

Distant homologs
The distant homologs of C6orf118 cover the mammals, birds, and reptiles in the Table of orthologs of C6orf118. Most conserved regions are found in exon 2 and exon 7.
Interacting proteins
Possible transcription factors
Three transcriptional factors, HOXD9, HOXA10, and CDX1, overlap each other in the promoter sequence site.[23] Near the start of transcription, RunX1 and Bcl11B are found opposite in the double strand, indicating competition for attachment to the sequence. Both ZNF213 and EWSR1-FLI1 bind very closely to the start of transcription at the 5’ UTR, indicating both play crucial roles in regulating gene expression.
HOXD9, HOXA10, CDX1
HOXD9, HOXA10, and CDX1 belong to the Homeobox proteins family. HOXD9 plays an important role in morphogenesis in all multicellular organisms, and deletion of this gene is associated with severe limb and genital abnormalities. Similarly, HOXA10 regulates gene expression, morphogenesis, and differentiation that are crucial for embryo viability. CDX1 is also recognized for its role in embryonic epicardial development, but the mechanism of how these transcriptional factors regulate is poorly understood.[38] It was hypothesized that HOXD9 can act as both an activator and repressor, while HOXA10 and CDX1 primarily function as activators.[39]
RunX1 and Bcl11B
Runt-related transcription factor (RunX1) function in humans was not well understood. It has been suggested to play a role in regulating differentiation of hematopoietic stem cells into mature blood cells.[40] RUNX proteins form a heterodimeric complex with CBFβ which confers increased DNA binding and stability to the complex.
B-cell lymphoma/leukemia 11B (Bcl11B) is a protein that may be associated with B-cell malignancies. It was hypothesized that RunX1 is primarily involved in activation, while BCL11B can induce both activation and inhibition of C6orf118 transcription.
ZNF213 and EWSR1-FLI1
Zinc Finger Protein 217 (ZNF213) is a protein that attenuate apoptotic signals and promote breast cancer progression.[41] ZNF213 has a bipartite structure, with one domain binding to DNA and the other modulating target gene expression.[42] Studies have indicated that ZNF213 plays a role in cell differentiation and development.[43]
EWSR1-FLI1 refers to a fusion protein that combines the transcriptional activation domain of EWSR1 with the DNA-binding domain of FLI1.[44] EWSR1-FLI1 deregulate genes involved in tumorigenesis.[45] Thus, it is likely that EWSR1-FLI1 act antagonistically to ZNF213, and likely activate C6orf118.
Clinical significance
Disease association
Mitochondria disease
The protein is associated with diseases like Mitochondrial Complex I Deficiency, Nuclear Type 17.[6] This condition is characterized by a deficiency in the mitochondrial respiratory chain complex I, leading to clinical symptoms such as muscle weakness, developmental delay, and neurological abnormalities.[46]
Caseous tuberculosis

C6orf118 has been found to be susceptible to tuberculosis. Microarray data were used to compare gene expression in lung tissues from both normal and ITK-deficient individuals during the early stages of Mtb infection, and found that C6orf118 expression was higher in normal lung parenchyma compared to ITK-deficient TB granulomas.[50] The necrotic core and hypoxic conditions in infected cells might suppress the expression of genes involved in RNA processing and degradation.
Immune diseases
Several studies have link differential C6orf118 functionality to various immune diseases. One study have identified C6orf118 as a potential antagonistic partner with Pre-B cell colony enhancing factor (PBEF). C6orf118 expression is increased by 30% in PBEF siRNA-treated cells compared to the RNA control group.[51] Furthermore, another study reported in NCBI GEO show differential expression of C6orf118 in peripheral blood monocytes that were exposed to macrophage colony-stimulation factor (MCSF) or chemokine-like platelet factor 4 (CXCL4).[52] C6orf118 expression was significantly higher in CXCL4-induced macrophages compared to MCSF-induced macrophages, suggesting CXCL4-deficient individuals could prevent cellular homeostasis and prevent the accumulation of harmful RNA fragments.
Mutations (SNPs of interest)
At 361 aa there is a missense SNP that may be either a valine (V) or an leucine (L). This SNP is associated with changes in the alpha-helix structure and the ability to interact with other molecule can be found at 1106 bp on transcript variant 1.[53]
References
- ^ a b c GRCh38: Ensembl release 89: ENSG00000112539 – Ensembl, May 2017
- ^ a b c GRCm38: Ensembl release 89: ENSMUSG00000023873 – Ensembl, May 2017
- ^ "Human PubMed Reference:". National Center for Biotechnology Information, U.S. National Library of Medicine.
- ^ "Mouse PubMed Reference:". National Center for Biotechnology Information, U.S. National Library of Medicine.
- ^ a b c d e "C6orf118 chromosome 6 open reading frame 118 [Homo sapiens (human)] - Gene - NCBI". www.ncbi.nlm.nih.gov. Retrieved 2024-09-15.
- ^ a b c d e f g h "Green Card entry on C6orf118". Aug 5, 2024.
- ^ Ma J, Sun L, Gao W, Li Y, Dong D (July 2023). "RNA binding protein: coordinated expression between the nuclear and mitochondrial genomes in tumors". Journal of Translational Medicine. 21 (1): 512. doi:10.1186/s12967-023-04373-3. PMC 10386658. PMID 37507746.
- ^ "TSN translin [Homo sapiens (human)] - Gene - NCBI". www.ncbi.nlm.nih.gov. Retrieved 2024-09-25.
- ^ "Translin-associated factor X", Wikipedia, 2023-12-30, retrieved 2024-09-25
- ^ a b c "C6orf118 protein expression summary - The Human Protein Atlas". www.proteinatlas.org. Retrieved 2024-09-15.
- ^ Gupta GD, Kumar V (2012-03-12). "Identification of nucleic acid binding sites on translin-associated factor X (TRAX) protein". PLOS ONE. 7 (3): e33035. Bibcode:2012PLoSO...733035G. doi:10.1371/journal.pone.0033035. PMC 3299731. PMID 22427937.
- ^ a b c "AceView: Gene:C6orf118, a comprehensive annotation of human, mouse and worm genes with mRNAs or ESTsAceView". www.ncbi.nlm.nih.gov. Retrieved 2024-09-15.
- ^ "Homo sapiens chromosome 6 open reading frame 118 (C6orf118), mRNA". National Center for Biotechnology Information. 2024-08-01.
- ^ "TMHMM DTU Health Tech". services.healthtech.dtu.dk. Retrieved 2024-11-27.
- ^ "Expasy - Compute pI/Mw tool". web.expasy.org. Retrieved 2024-11-27.
- ^ "ELM - Search the ELM resource". elm.eu.org. Retrieved 2024-11-27.
- ^ "PhosphoSitePlus entry on C6orf118". www.phosphosite.org. Retrieved 2024-11-27.
- ^ "YinOYang 1.2 - DTU Health Tech - Bioinformatic Services". services.healthtech.dtu.dk. Retrieved 2024-11-27.
- ^ "NetAcet 1.0 - DTU Health Tech - Bioinformatic Services". services.healthtech.dtu.dk. Retrieved 2024-11-27.
- ^ "I-TASSER results". zhanggroup.org. Retrieved 2024-11-30.
- ^ "AlphaFold Protein Structure Database". alphafold.ebi.ac.uk. Retrieved 2024-11-30.
- ^ a b "PHYRE2 Protein Fold Recognition Server". www.sbg.bio.ic.ac.uk. Retrieved 2024-12-04.
- ^ a b "Human hg38 chr6:165,309,549-165,310,778 UCSC Genome Browser v474". genome.ucsc.edu. Retrieved 2024-11-28.
- ^ a b "GDS3113 / 182585". www.ncbi.nlm.nih.gov. Retrieved 2024-11-30.
- ^ "PaxDb: Protein Abundance Database". pax-db.org. Retrieved 2024-11-30.
- ^ "RNAstructure Fold Results". rna.urmc.rochester.edu. Retrieved 2024-11-28.
- ^ "miRDB - MicroRNA Target Prediction Database". mirdb.org. Retrieved 2024-11-28.
- ^ "Subcellular - C6orf118 - The Human Protein Atlas". www.proteinatlas.org. Retrieved 2024-11-28.
- ^ "PSORT II Prediction". psort.hgc.jp. Retrieved 2024-11-28.
- ^ "Deeploc - 2.0 DTU Health Tech". services.healthtech.dtu.dk. Retrieved 2024-11-28.
- ^ "C6orf118 Polyclonal Antibody (PA5-56257)". www.thermofisher.com. Retrieved 2024-11-28.
- ^ "NetAcet 1.0 - DTU Health Tech - Bioinformatic Services". services.healthtech.dtu.dk. Retrieved 2024-11-28.
- ^ Linster E, Wirtz M (August 2018). "N-terminal acetylation: an essential protein modification emerges as an important regulator of stress responses". Journal of Experimental Botany. 69 (19): 4555–4568. doi:10.1093/jxb/ery241. PMID 29945174.
- ^ "NetOGlyc 4.0 - DTU Health Tech - Bioinformatic Services". services.healthtech.dtu.dk. Retrieved 2024-11-28.
- ^ "Motif Scan". myhits.sib.swiss. Archived from the original on 2021-06-02. Retrieved 2024-11-28.
- ^ "uncharacterized protein C6orf118 [Homo sapiens] - Protein - NCBI". www.ncbi.nlm.nih.gov. Retrieved 2024-09-15.
- ^ a b "EMBOSS Needle Pairwise Sequence Alignment (PSA)". www.ebi.ac.uk. Retrieved 2024-10-12.
- ^ Lengerke C, Wingert R, Beeretz M, Grauer M, Schmidt AG, Konantz M, et al. (June 2011). "Interactions between Cdx genes and retinoic acid modulate early cardiogenesis". Developmental Biology. 354 (1): 134–142. doi:10.1016/j.ydbio.2011.03.027. PMC 3502019. PMID 21466798.
- ^ "The Human Gene Database". GeneCards.
- ^ Okuda T, Nishimura M, Nakao M, Fujita Y (October 2001). "RUNX1/AML1: a central player in hematopoiesis". International Journal of Hematology. 74 (3): 252–257. doi:10.1007/BF02982057. PMID 11721959.
- ^ Littlepage LE, Adler AS, Kouros-Mehr H, Huang G, Chou J, Krig SR, et al. (July 2012). "The transcription factor ZNF217 is a prognostic biomarker and therapeutic target during breast cancer progression". Cancer Discovery. 2 (7): 638–651. doi:10.1158/2159-8290.CD-12-0093. PMC 3546490. PMID 22728437.
- ^ "ZNF213 gene information - The Human Protein Atlas". www.proteinatlas.org. Retrieved 2024-11-28.
- ^ Hara T, Takeda TA, Takagishi T, Fukue K, Kambe T, Fukada T (March 2017). "Physiological roles of zinc transporters: molecular and genetic importance in zinc homeostasis". The Journal of Physiological Sciences. 67 (2): 283–301. doi:10.1007/s12576-017-0521-4. PMC 10717645. PMID 28130681.
- ^ Yu L, Davis IJ, Liu P (January 2023). "Regulation of EWSR1-FLI1 Function by Post-Transcriptional and Post-Translational Modifications". Cancers. 15 (2): 382. doi:10.3390/cancers15020382. PMC 9857208. PMID 36672331.
- ^ Jo VY (April 2020). "EWSR1 fusions: Ewing sarcoma and beyond". Cancer Cytopathology. 128 (4): 229–231. doi:10.1002/cncy.22239. PMID 31995669.
- ^ Fassone E, Rahman S (September 2012). "Complex I deficiency: clinical features, biochemistry and molecular genetics". Journal of Medical Genetics. 49 (9): 578–590. doi:10.1136/jmedgenet-2012-101159. PMID 22972949.
- ^ "68073031 - GEO Profiles - NCBI". www.ncbi.nlm.nih.gov. Retrieved 2024-11-28.
- ^ "91653430 - GEO Profiles - NCBI". www.ncbi.nlm.nih.gov. Retrieved 2024-11-28.
- ^ "116449231 - GEO Profiles - NCBI". www.ncbi.nlm.nih.gov. Retrieved 2024-11-28.
- ^ Huang L, Ye K, McGee MC, Nidetz NF, Elmore JP, Limper CB, et al. (2020-01-24). "Interleukin-2-Inducible T-Cell Kinase Deficiency Impairs Early Pulmonary Protection Against Mycobacterium tuberculosis Infection". Frontiers in Immunology. 10: 3103. doi:10.3389/fimmu.2019.03103. PMC 6993117. PMID 32038633.
- ^ Cheranova D, Gibson M, Kibiryeva N, Zhang LQ, Ye SQ (May 2012). "Pleiotropic functions of pre-B-cell colony-enhancing factor (PBEF) revealed by transcriptomics of human pulmonary microvascular endothelial cells treated with PBEFsiRNA". Genes to Cells. 17 (5): 420–430. doi:10.1111/j.1365-2443.2012.01598.x. PMID 22487217.
- ^ Gleissner CA, Shaked I, Little KM, Ley K (May 2010). "CXC chemokine ligand 4 induces a unique transcriptome in monocyte-derived macrophages". Journal of Immunology. 184 (9): 4810–4818. doi:10.4049/jimmunol.0901368. PMC 3418140. PMID 20335529.
- ^ "rs9459350 RefSNP Report - dbSNP - NCBI". www.ncbi.nlm.nih.gov. Retrieved 2024-11-28.



