Radiation Oncology/Brainstem Glioma

Epidemiology

  • 10-20% CNS tumors in children
  • 5% CNS tumors in adults

Subtypes

Diffuse brainstem glioma

  • Usually located in the pons.
  • Generally high grade (WHO III/IV).
  • Locally invasive.
  • Universally poor prognosis (median survival <1 yr).
  • 80% brainstem gliomas.

Focal brainstem glioma

  • Located in medulla or midbrain.
  • Low grade.
  • Well circumscribed without local infiltration or edema.
  • Significant proportion can have long term survival.
  • 15-20% brainstem gliomas.

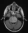
Anatomy



Treatment

  • Diffuse brainstem glioma - treated with steroids and RT/temodar like a high grade astrocytoma.
    • Hyperfractionation has been extensively studied and does not appear to benefit.
  • Focal brainstem glioma
    • Tectal glioma treated with CSF diversion and observation.
    • Tegmental glioma treated with surgical resection.
    • Dorsal exophytic focal brainstem glioma treated with surgical resection.
    • Medullary focal brainstem glioma often treated with RT.

Radiation Therapy for Diffuse Brainstem Glioma

  • Nijmegen, Netherlands; 2009 PMID 18990510 -- "The role of hypofractionation radiotherapy for diffuse intrinsic brainstem glioma in children: a pilot study." (Janssens GO, Int J Radiat Oncol Biol Phys. 2009 Mar 1;73(3):722-6. Epub 2008 Nov 5.)
    • Prospective. 9 children, diffuse brainstem glioma. RT 39/13. Mean F/U 15 months
    • Outcome: Median OS 8.6 months, median TTP 4.9 months; both comparable to "standard" regimens
    • Toxicity: No Grade 3-4
    • Conclusion: Radical hypofractionation feasible, offers quick relief with minimal overall treatment time
  • Harvard; 2003 (1990-96) - PMID 12654425 -- Marcus KJ et al. "A phase I trial of etanidazole and hyperfractionated radiotherapy in children with diffuse brainstem glioma." Int J Radiat Oncol Biol Phys. 2003 Apr 1;55(5):1182-5.
    • 18 pts w/ brainstem glioma tx'd w/ etanidazole + hyperfractionated RT on dose escalation protocol. (66 Gy in 1.5 BID to 1st 3 pts, 63 Gy in 1.5 BID to next 15).
    • 3 grade 3 toxicities (skin, 1 vomiting)
    • Median survival 8.5 mo
    • Conclusion: dose limiting toxicity of etanidazole in childhood pt was rash (compared to adults when it is peripheral neurophathy).
  • POG 9239, 1999 (1992-97) - PMID 10192340 -- Mandell LR et al. "There is no role for hyperfractionated radiotherapy in the management of children with newly diagnosed diffuse intrinsic brainstem tumors: results of a Pediatric Oncology Group phase III trial comparing conventional vs. hyperfractionated radiotherapy." Int J Radiat Oncol Biol Phys. 1999 Mar 15;43(5):959-64.
    • 130 pts w/ diffuse brainstem glioma tx'd w/ concurrent cisplatin and randomized to hyperfractionated RT (117 cGy BID to 70.2 Gy) vs conventional RT (180 cGy qD to 54 Gy).
    • OS at 1 yr was 30.9% (conventional) vs 27% (HF); OS at 2 yrs was 7.1% (conventional) vs 6.7% (HF)
    • Median time to progression was 6 mo's (conventional) vs 5 mo's (HF).
    • Conclusion: no benefit to hyperfractionated RT for diffuse brainstem glioma.
  • Egypt, 2012 (2007-11) - Abstract 2012 -- Zaghloul M et al. "Hypofractionated radiotherapy for pediatric diffuse intrinsic pontine glioma (DIPG): A prospective controlled randomized trial" Neuro Oncol (2012) 14 (suppl 1): i26-i32.
    • 64 pts w/ diffuse brainstem glioma randomized to conventional RT (55.8 Gy / 1.8 Gy) vs. hyporfractionated RT (39 Gy / 3 Gy).
    • OS at 1 yr was 36.2% (conventional) vs 41.4% (hypofractionated); OS at 2 yrs was 32.3% (conventional) vs 28.4% (hypofractionated)
    • Median time to progression was 7.7 mo's (conventional) vs 7.0 mo's (hypofractionated).
    • Improvement in symptoms in both arms, earlier response in hypofractionated arm.
    • Conclusion: hypofractionated RT for diffuse brainstem glioma offers similar PFS and OS as conventional RT with faster response and less burden for patients/families/clinic