Electricity and magnetism/Electrodynamics

An electric circuit can be represented by a circuit of moving water:

With such a representation, the equality of tensions in parallel branches is clearly visible:

Batteries and generators

The electric force on a positive charge pushes it in the direction of decreasing potential. Positive charges go down the potential under the effect of the electric force. Conversely, negative charges go up the potential.

We generally reason with the conventional direction of electric current, as if it were a current of positive charges which go down the potential. This is why the conventional direction of current is the opposite of the electron current. In the following we reason with the conventional direction, because it is more intuitive to think of charges which go down the potential than of charges which go up it.

In a passive dipole, the current always goes down the potential. Batteries and generators are active dipoles, capable of imposing a current which go up the potential, like a pump capable of raising water.

In batteries, it is the chemical energy stored in the battery materials that is used to pump electrical charges. In turbine generators, current is pumped through the turbines through magnetic forces.

The voltage in an electrical circuit

An electrical circuit is an assembly of elements brought into contact by their terminals. Connecting wires, generators, batteries, resistors, capacitors and coils have two terminals. Transistors have three terminals.

A circuit can be very simple, a battery that powers a lamp for example, or very complex, a microprocessor.

Where do the voltages across the elements of an electrical circuit come from? They are produced by electric forces which are themselves produced by electric charges.

The plates of a charged capacitor exert electrical forces that produce an electrical voltage in the circuit between them.

When the voltage varies, the charges which produce these voltages must also vary. A movement of electric charges is an electric current. The electric currents which produce voltage variations are charging currents. The electric currents which charge the capacitors, or which discharge them, are charging currents, or charge variation currents.

Electric forces are the accelerations, not the speeds, of electric charges. Mass means that acceleration can have a very different direction than velocity. For example, in a constant speed turn, the direction of acceleration is perpendicular to the direction of speed. But when friction forces dominate, they cancel all inertial effects, and it is no longer the acceleration but the speed which is then proportional to the applied force, and in the same direction as it. We can generally ignore the inertial effects of electric current, as if friction forces on electric charges always dominated the inertial effects. So the electric current is in the direction of the electric field inside the conductive materials. Positive charges move in the direction of the electric field. Negative charges go in the opposite direction to the field.

The elements of an electric circuit are generally electrically neutral. The sum of their negative charges is exactly equal and opposite to the sum of their positive charges.

When we connect two terminals of a circuit to a generator, we almost instantly modify the electric potential energy of all the charges it contains. But any energy gained or lost by one charge is exactly offset by the energy lost or gained by an opposite charge. As if the charges were the two sides of a balanced scale. Any change in the gravitational potential energy of one of the plates is exactly compensated by the change in the potential energy of the other. If potential energy compensation did not take place when turning on a circuit, one might have to supply energy to connect the terminals of a circuit. But this effort is generally not necessary. We can turn on the light without making any effort.

Most of the time the connection wires of a circuit are chosen so as not to heat up. Very little energy is lost by the flow of current through a wire. This is why the voltage across a wire in a connection is generally considered zero or negligible, as if electrons could travel through the wires without losing energy.

The laws of voltages in a circuit

Three theorems are fundamental for calculating voltages in a circuit:

  • The sum of the voltages in a closed loop of an electrical circuit is always zero.

Proof: UXY = VX - VY is the voltage between X and Y. For a closed loop ABC, UAB + UBC + UCA = VA - VB + VB - VC + VC - VA = 0

  • The voltage across two dipoles in series is the sum of the voltages across each of the dipoles.

Proof: UAC = VA - VB + VB - VC = UAB + UBC

  • The voltages across two dipoles placed in parallel are equal.

Proof: let BC and DE be two dipoles placed in parallel between points A and F. AB, AD, CF and EF are connection wires. The voltage across their terminals is therefore zero. UAF = UAB + UBC + UCF = UBC = UAD + UDE + UEF = UDE

Remarks :

  • The electric force derives from a potential only in steady state, therefore in constant direct current for an electric circuit. If the current varies, the electric voltage is still the work of the electric force on a circuit path, but it is not a potential difference because electromagnetic induction must be taken into account. The electrical voltage across a coil is not a potential difference but we can reason about it as if it were, as if the sum of the voltages on a closed loop were always zero.
  • An electrical circuit is always a current loop, like a coil. For a variable current, the sum of the voltages over the entire length of the loop cannot be zero, because of electromagnetic induction. But we can reason about this tension as if it were an additional tension that we added inside the loop and thus respect, at least formally, the law that the sum of tensions along a loop must be zero.
  • The law of electromagnetic induction is Faraday's law. It is presented in the chapter on Maxwell's equations.

The power of the electric current

Electric current is a current of electric charges. In metals, it is a current of electrons, which are negative charges. In salt water, electric currents are ion currents.

The intensity I of an electric current is measured in a way similar to the flow of a river or a jet of water, but instead of counting cubic meters or liters, we count electric charges. This is why the intensity I is measured in Coulombs per second. One Ampere (A) is one Coulomb (C) per second(s).

1 A = 1 C/s

A charge equal to one Coulomb which crosses a potential difference equal to one Volt loses electrical energy equal to one Joule, by definition of Volt. The energy lost by the charge is energy it provides. The power supplied by a current equal to one Ampere passing through a potential difference equal to one Volt is equal to one Joule per second equal to one Watt (W):

1 W = 1 J/s = 1 V. 1 A = 1 V.A

The power P supplied by an electric current passing through a dipole is the product of the intensity I of the current and the voltage U across the dipole:

P = UI

Where U and I are measured in Volts and Amperes, respectively, P is measured in Watts.

The Joule effect and Ohm's law

An electrical resistance is a dipole that resists the flow of electric current. The electrons or ions are accelerated by the electric field but lose all the kinetic energy they have thus gained by giving it up to the material they pass through. The kinetic energy thus released is transformed into microscopic kinetic energy of the atoms or molecules of the material.

Heat is the microscopic kinetic energy of atoms, molecules and all microscopic movements of matter. The hotter a body is, the more its microscopic constituents are agitated and excited.

When the electrons of a metal are subjected to a potential difference, they are accelerated by the electric force, and slowed down by their collisions with the metal. However, light is produced by the acceleration and braking of electrical charges. So, the higher the electrical voltage, the more the metal heats up, this is the Joule effect, and the more light it produces. The Joule effect, which makes the light of electric lamps with filament, also means that a short circuit can cause a fire.

It is as if the electrical charges were rubbing the resistant material, because the friction slows down and produces heat. We warm our hands by rubbing them.

When the voltage across the resistor is constant, the intensity I of the current does not vary, because the electrical charges are not accelerated on average, because all braking compensates for all accelerations. A steady state is established which depends on the voltage U and the resistance R of the dipole:

I = U/R

which we write instead:

U = RI

This is Ohm's law.

R is a coefficient which measures the resistance of the dipole to the flow of current. The larger R, the smaller I, for the same voltage U. The unit of measurement for electrical resistance is the Ohm ().

From P = UI and U = RI we deduce P = RI2 = U2/R. This is the power supplied, or dissipated, by the Joule effect.

The resistance of a connecting wire is close to zero. If U is different from 0, U2/R can be very large. The electrical power dissipated in a short circuit can be very large and cause a fire.

If a wire is resistant, its resistance is proportional to its length. When a current flows through it, the potential decreases linearly with length in the direction of the current.

(Animation: variation of potential during the discharge of a capacitor in a resistant wire)

A material is superconductive when it is perfectly conductive, when its electrical resistance is always exactly equal to zero.

Inside a superconducting material, the electric field is always zero.

Proof: if the electric field were not zero, there would be an electric voltage between two points, and according to Ohm's law, there would be an infinite electric current, since the resistance is zero. But an infinite current is impossible. So the field is zero.

The omnipresence of electrical circuits

The study of electrical circuit dynamics is not just for electrical circuit designers, because electrical circuits are already naturally present everywhere.

Materials can always receive or transfer electrons and thus be electrically charged. Several bodies combined therefore always behave like capacitors. Even an ion is similar to a plate of a charged capacitor.

Ohm's law shows that electric currents follow paths of least resistance. For the same potential difference, the current is greater as the resistance is lower. Electric currents appear naturally as soon as charge differences appear and the materials are not perfectly insulating, because the charge differences cause potential differences to appear, as in a capacitor. The resistance of a perfectly insulating material is infinite, but insulating materials have a breakdown threshold, a voltage beyond which they allow current to pass, this is the electric arc, lightning for example.

We can make models of most natural phenomena by reasoning about electrical circuits that connect resistors, capacitors, generators and coils. Transistors are electrically controlled variable resistors.

The propagation of the nerve impulse

A nerve fiber is made up of axons, which are extensions of nerve cells, neurons. An axon is a long tube immersed in salt water. Its membrane is electrically insulating, because it does not allow ions to pass through. An axon can behave like a capacitor, because equal and opposite electrical charges can appear on either side of its membrane and thus produce a potential difference between the inside and outside of the axon.

The membrane is crossed by ion pumps. These pumps accumulate opposite charges on either side of the membrane and produce a transmembrane electrical voltage. Ion pumps are like small generators, capable of imposing a voltage between their terminals, the interior and exterior of the axon.

Ions can flow inside the axon, but water behaves like a material that resists the passage of current.

We can make a model of the propagation of the nerve impulse with an electrical circuit made up of resistors and capacitors. The resistors represent the interior of the axon, which resists the flow of current. Capacitors represent the membrane of the axon, which can accumulate opposite electrical charges on its two surfaces.

(Image: diagram of the electrical circuit which represents an axon)

The axon can be considered as a succession of capacitors and resistances where is a capacitance per unit length, and a resistance per unit length. This model is a simplification of that of Hodgkin-Huxley.

According to the law of charge of a capacitor

where is the charge of one face of the axon membrane between x and x +dx, and is the charge per unit length.

According to Ohm's law

so

so

It is better to write:

This is the diffusion equation. This means that the electrical signal propagates very slowly, like a dye diffusing in a liquid.

Nerve fibers can be several meters long. If we put a dye on the end of a pipe, we have to wait a very long time before it makes its presence felt on the other side. How then is it that nerve impulses can propagate at several meters per second?

Signal propagation is accelerated by amplifiers along the length of the axon.

The membrane is crossed by pores which function like electrical switches. They may or may not pass current. These pores are electrically controlled by transmembrane voltage. Like transistors, they are electrically operated electrical switches and can function as amplifiers. Even if the control signal is weak, the effect, the electric current, can be strong.

The pores are distributed at regular distances along the axon. They function as signal transmission relays. Most of the time a pore is closed, and the transmembrane tension has a constant value, produced by the ion pumps. But if the transmembrane tension decreases sufficiently, a pore can open, allowing ions to pass through, and thus further reduce the transmembrane tension. This reduction in tension propagates to the next pore, which in turn opens. The pores open successively like a chain of dominoes such that each one falls on the next. This is the propagation of nerve impulses.

(Animation: signal propagation in an axon)

The speed of propagation is very slow, from a few tens of centimeters per second to a few tens of meters per second, because current is required to discharge the membrane, and because the interior of the axon resists the passage of the current. If the axons were metal wires, the signal propagation could be much faster, close to the speed of light, 300,000 km/s. This is why computers are much faster than brains.

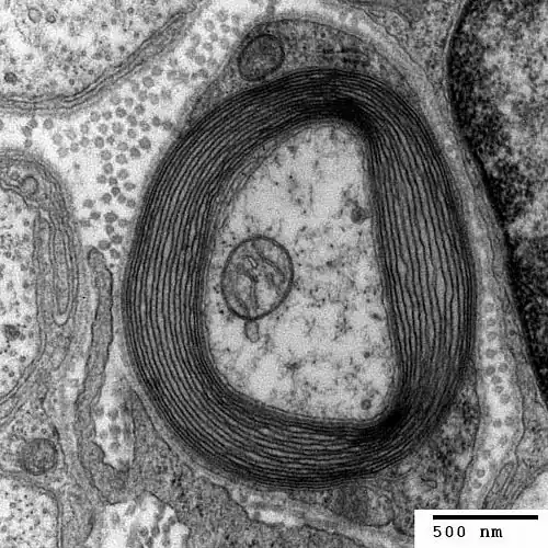
Fast-transmitting axons (especially those running from the feet to the head) are surrounded by myelin. These are insulating cells, like an insulating wall on an electrical wire. They reduce the capacity of an axon wall, because they increase its thickness, and thus accelerate the propagation of the nerve impulse, because thanks to them, it takes less time to discharge the membrane. Myelin is made of cells that wrap around an axon:

The axon is in the center. Its wall is thickened by a myelin cell (a Schwann cell) which has wrapped around the axon.

The insulating myelin wall is interrupted at the nodes of Ranvier to allow the flow of ion currents which charge the axon (the ion pumps) or discharge it (the signal transmission relays):

(a) dendrite, (b) cell body, (c) nucleus, (d) axon cone, (e) myelin, (f) nucleus of a Schwann cell, (g) node of Ranvier, (h) axon terminal

The decision to emit or not a signal is made in the axon cone and is relayed by the nodes of Ranvier.

Myelin is the white matter of a brain, neurons are the gray matter. The white matter is particularly visible between the two cerebral hemispheres because signal transmission must be rapid:


Computers are not the only machines that use electric current to make calculations and transmit information. Nature invented electrical calculators before us: neural systems, and especially brains.

Like computers, brains operate with a binary system: either the signal passes through an axon, or it does not. There is no third possibility.

God has given us the power to find science. When we seek the laws of all that is, we find them, provided we work well. With science, we can understand everything there is to understand, including ourselves. God has not deprived us of the laws that explain what we are. He teaches us the truth about all beings. By giving us the laws of electromagnetism, he gives us laws that explain almost everything, even us.